تعویض کامپوزیت دندان یک اقدام ضروری و هوشمندانه برای حفظ زیبایی و سلامت دندان هایی است که قبلا تحت درمان با کامپوزیت قرار گرفته اند. با گذشت زمان، کامپوزیت های دندانی ممکن است به دلیل سایش، لب پریدگی، تغییر رنگ یا ایجاد پوسیدگی در لبه ها، کارایی و ظاهر اولیه خود را از دست بدهند. دکتر مژگان آزادخواه، با تخصص و مهارت بالای خود در دندانپزشکی زیبایی، به بیماران کمک می کند تا با ارزیابی دقیق وضعیت کامپوزیت های قدیمی، بهترین زمان و روش را برای تعویض آن ها انتخاب کنند. ایشان با استفاده از تکنیک های مدرن، فرآیند تعویض را با حداقل آسیب به ساختار دندان انجام می دهند.
این فرآیند نه تنها به بازیابی درخشندگی و یکدستی لبخند کمک می کند، بلکه از بروز مشکلات جدی تر مانند نفوذ باکتری و پوسیدگی دندان زیرین نیز جلوگیری می نماید. تصمیم گیری برای تعویض کامپوزیت دندان باید بر اساس معاینه دقیق و مشاوره با یک دندانپزشک مجرب صورت گیرد تا از نتایج درمانی ایده آل اطمینان حاصل شود. مشاوره کامپوزیت دندان اولین و مهم ترین گام در این مسیر است که به بیمار دید کاملی نسبت به وضعیت فعلی و نتایج قابل انتظار می دهد.
دکتر مژگان آزادخواه دندانپزشک در سعادت آباد با ارزیابی کامل شرایط دهان و دندان، به شما کمک می کند تا تشخیص دهید آیا زمان تعویض کامپوزیت دندان فرا رسیده است یا خیر. ایشان با ارائه یک طرح درمان دقیق، زیبایی و سلامت را به لبخند شما باز می گردانند.
به مشاوره نیاز دارید؟
فرم مشاوره و رزرو وقت
تعویض کامپوزیت دندان چیست؟
تعویض کامپوزیت دندان یک روش درمانی و زیبایی در دندانپزشکی است که طی آن، مواد کامپوزیتی قدیمی که برای ترمیم یا زیباسازی دندان ها به کار رفته اند، برداشته شده و با مواد کامپوزیتی جدید جایگزین می شوند. این فرآیند می تواند شامل جایگزینی پرکردگی های کامپوزیتی، ونیرهای کامپوزیتی یا باندینگ های زیبایی باشد. کامپوزیت های دندانی، با وجود دوام و زیبایی، طول عمر محدودی دارند و پس از مدتی، معمولا بین ۵ تا ۱۰ سال، ممکن است دچار فرسودگی، تغییر رنگ، شکستگی یا نشت در لبه ها شوند. در چنین شرایطی، تعویض کامپوزیت دندان برای حفظ سلامت دندان و بازیابی ظاهر زیبای آن ضروری می شود.
این اقدام فراتر از یک مسئله صرفا زیبایی است. یک کامپوزیت قدیمی که دچار شکستگی یا نشت شده باشد، می تواند محلی برای تجمع پلاک های باکتریایی و نفوذ آنها به ساختار زیرین دندان فراهم کند. این امر خطر بروز پوسیدگی های ثانویه را به شدت افزایش می دهد که در صورت عدم رسیدگی، می تواند منجر به مشکلات پیچیده تری مانند نیاز به درمان ریشه شود. بنابراین، تعویض کامپوزیت دندان در زمان مناسب، یک اقدام پیشگیرانه برای حفظ سلامت طولانی مدت دندان محسوب می شود.
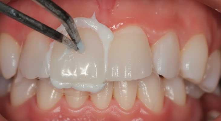
فرآیند تعویض کامپوزیت دندان با دقت بالایی انجام می شود. دندانپزشک با استفاده از ابزارهای مخصوص، ماده کامپوزیت قدیمی را با حداقل آسیب به مینای دندان سالم بر می دارد. سپس سطح دندان مجددا آماده سازی شده و لایه های جدید رزین کامپوزیت با تکنیک های پیشرفته روی آن قرار می گیرند تا شکل، رنگ و عملکرد طبیعی دندان بازسازی شود. در این فرآیند، ترمیم کامپوزیت دندان قدیمی با یک نمونه جدید و با کیفیت جایگزین می گردد.
بیشتر بدانید: بعد از کامپوزیت دندان چه بخوریم و چه نخوریم؟ | بهترین برند های کامپوزیت دندان
دلایل اصلی برای تعویض کامپوزیت دندان
تصمیم برای تعویض کامپوزیت دندان معمولا بر اساس دلایل مشخصی گرفته می شود که هم جنبه زیبایی و هم جنبه درمانی دارند. آگاهی از این دلایل به شما کمک می کند تا زمان مناسب برای مراجعه به دندانپزشک را تشخیص دهید.
- تغییر رنگ و لکه پذیری: کامپوزیت ها برخلاف سرامیک، تا حدی متخلخل هستند و به مرور زمان تحت تاثیر مواد غذایی رنگی مانند چای، قهوه و دخانیات، دچار تغییر رنگ می شوند.
- شکستگی یا لب پریدگی: وارد آمدن فشار بیش از حد هنگام جویدن غذاهای سخت یا عاداتی مانند دندان قروچه می تواند باعث شکستگی یا لب پر شدن کامپوزیت شود.
- پوسیدگی ثانویه: با گذشت زمان، ممکن است در لبه های ترمیم کامپوزیت، نشت میکروسکوپی ایجاد شده و باکتری ها به زیر آن نفوذ کنند که منجر به پوسیدگی دندان می شود.
- سایش و فرسودگی: کامپوزیت ها به مرور در اثر جویدن ساییده می شوند و ممکن است شکل و آناتومی اولیه خود را از دست بدهند.
- عدم رضایت از نتیجه اولیه: در برخی موارد، بیمار ممکن است از رنگ، شکل یا فرم کامپوزیت اولیه خود رضایت نداشته باشد و تصمیم به تعویض آن بگیرد. این موضوع اهمیت دریافت مشاوره لمینت دندان و کامپوزیت قبل از انجام کار را نشان می دهد.
آشنا شوید: مراقبت های بعد از کامپوزیت دندان | کامپوزیت برای چه کسانی مناسب است؟
مزایای تعویض کامپوزیت دندان در زمان مناسب
اقدام به موقع برای تعویض کامپوزیت دندان فرسوده، مزایای متعددی برای سلامت و زیبایی دهان و دندان به همراه دارد. این کار نه تنها ظاهر لبخند را بهبود می بخشد، بلکه از بروز مشکلات جدی تر نیز جلوگیری می کند. یکی از اصلی ترین مزایا، بازیابی زیبایی لبخند است. با جایگزینی کامپوزیت های رنگ گرفته و کدر با مواد جدید، می توان به رنگی روشن تر و ظاهری یکدست و طبیعی دست یافت. این امر تاثیر به سزایی در افزایش اعتماد به نفس فرد دارد.
مزیت مهم دیگر، پیشگیری از پوسیدگی دندان است. کامپوزیت های قدیمی که دچار نشت یا شکستگی های ریز شده اند، بهترین مکان برای رشد باکتری ها هستند. تعویض کامپوزیت دندان این راه های نفوذ را مسدود کرده و از ساختار سالم دندان در برابر پوسیدگی محافظت می کند. این اقدام به موقع می تواند از نیاز به درمان های پیچیده و پرهزینه تر مانند عصب کشی یا حتی کشیدن دندان در آینده جلوگیری نماید.
علاوه بر این، با تعویض کامپوزیت دندان می توان شکل و فرم دندان ها را نیز اصلاح کرد. گاهی با گذشت زمان و تحلیل جزئی لثه، ممکن است لبه های کامپوزیت نمایان شوند یا شکل آن دیگر با خط لبخند هماهنگی نداشته باشد. در فرآیند تعویض، دندانپزشک این فرصت را دارد که با استفاده از تکنیک های جدیدتر مانند کامپوزیت دندان به روش لیرینگ، فرمی زیباتر و طبیعی تر برای دندان ها ایجاد کند.
چه میدانید: درد کامپوزیت دندان | کامپوزیت بدون تراش دندان
مراحل و فرآیند تعویض کامپوزیت دندان
فرآیند تعویض کامپوزیت دندان شامل چندین مرحله دقیق است که توسط دندانپزشک متخصص و با هدف حفظ حداکثری ساختار سالم دندان انجام می شود.
- معاینه و مشاوره: در ابتدا، دندانپزشک وضعیت کامپوزیت های قدیمی، دندان زیرین و لثه های اطراف را به دقت بررسی می کند. با استفاده از عکس های رادیوگرافی، از عدم وجود پوسیدگی در زیر ترمیم اطمینان حاصل می شود.
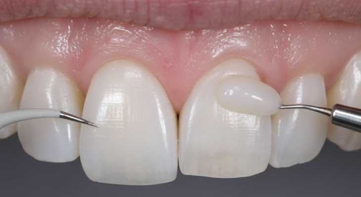
- برداشتن کامپوزیت قدیمی: این مرحله حساس ترین بخش کار است. دندانپزشک با استفاده از فرزهای مخصوص و با بزرگنمایی، کامپوزیت قدیمی را با دقت و به صورت لایه لایه بر می دارد تا کمترین آسیب به مینای دندان وارد شود.
- آماده سازی دندان: پس از برداشتن کامل کامپوزیت، سطح دندان تمیز شده و در صورت وجود هرگونه پوسیدگی، آن نیز برداشته می شود. سپس سطح دندان برای پذیرش کامپوزیت جدید آماده می گردد.
- قرار دادن کامپوزیت جدید: دندانپزشک لایه های نازک از رزین کامپوزیت با رنگ مناسب را روی دندان قرار داده و با نور مخصوص آن را سخت می کند. این کار تا رسیدن به شکل و فرم ایده آل ادامه می یابد. کامپوزیت ونیر دندان جدید با دقت فرم داده می شود.
- پولیش و اتمام کار: در مرحله نهایی، سطح کامپوزیت جدید به طور کامل پولیش می شود تا درخشندگی و بافتی کاملا مشابه با دندان طبیعی پیدا کند و بایت بیمار تنظیم می گردد.
آشنا شوید: اسپلینت دندان چیست؟ | تاثیر سیگار بر کامپوزیت دندان
بلاگ مفید: بهترین رنگ کامپوزیت دندان
جایگزین های تعویض کامپوزیت دندان
در برخی شرایط، ممکن است جایگزین های دیگری به جای تعویض کامپوزیت دندان وجود داشته باشد. انتخاب بهترین گزینه به وضعیت کامپوزیت، میزان آسیب و انتظارات بیمار بستگی دارد. دندانپزشک پس از معاینه، بهترین راه حل را پیشنهاد خواهد داد.
- پولیش و ترمیم جزئی: اگر کامپوزیت فقط دچار لکه های سطحی یا یک لب پریدگی بسیار کوچک شده باشد، ممکن است بتوان با یک پولیش کامپوزیت حرفه ای، درخشندگی آن را باز گرداند یا بخش کوچک آسیب دیده را ترمیم کرد.
- لمینت سرامیکی: اگر بیمار به دنبال راه حلی با دوام تر و با ثبات رنگ بالاتر باشد، می تواند پس از برداشتن کامپوزیت قدیمی، از لمینت های سرامیکی استفاده کند.
- روکش دندان: در صورتی که دندان زیر کامپوزیت دچار پوسیدگی گسترده شده باشد یا ساختار زیادی از دست داده باشد، پس از برداشتن کامپوزیت و ترمیم پوسیدگی، ممکن است بهترین گزینه استفاده از روکش کامل دندان باشد.
- بلیچینگ دندان های مجاور: گاهی علت ناهماهنگی رنگ، زرد شدن دندان های طبیعی مجاور است. در این موارد، می توان با بلیچینگ دندان های دیگر، هماهنگی رنگی را بدون نیاز به تعویض کامپوزیت ایجاد کرد.
اطلاعات بیشتر: تفاوت باندینگ و کامپوزیت ونیر
مراقبت های لازم پس از تعویض کامپوزیت دندان
پس از انجام تعویض کامپوزیت دندان، رعایت برخی نکات مراقبتی برای افزایش طول عمر و حفظ زیبایی ترمیم جدید ضروری است. این مراقبت ها تفاوت چندانی با مراقبت از کامپوزیت های اولیه ندارند، اما به دلیل حساسیت جزئی دندان پس از فرآیند برداشتن کامپوزیت قدیمی، اهمیت بیشتری پیدا می کنند. رعایت بهداشت دهان و دندان در صدر این مراقبت ها قرار دارد. مسواک زدن منظم با یک مسواک نرم و خمیر دندان غیر ساینده و همچنین استفاده روزانه از نخ دندان برای تمیز کردن لبه های ترمیم، از تجمع پلاک و تغییر رنگ جلوگیری می کند.
رژیم غذایی نیز نقش مهمی در ماندگاری کامپوزیت جدید دارد. توصیه می شود در روزهای ابتدایی از خوردن غذاهای بسیار سفت و چسبنده پرهیز شود. همچنین برای جلوگیری از تغییر رنگ زودرس، بهتر است مصرف نوشیدنی های رنگدانه دار مانند قهوه، چای و نوشابه های رنگی محدود شود و در صورت مصرف، دهان با آب شسته شود. عادات نامناسب مانند جویدن یخ یا استفاده ابزاری از دندان ها می تواند باعث شکستن کامپوزیت جدید شود و باید از آنها اجتناب کرد.
مراجعه منظم به دندانپزشک برای معاینات دوره ای و چکاپ وضعیت کامپوزیت های جدید، بخش مهمی از مراقبت های بلند مدت است. دندانپزشک می تواند با انجام پولیش دوره ای، درخشندگی و صافی سطح کامپوزیت را حفظ کرده و از سلامت لبه های آن اطمینان حاصل کند. این مراجعات به تشخیص زودهنگام هرگونه مشکل احتمالی و افزایش طول عمر انواع ونیر دندان کامپوزیتی کمک می کند.
آشنا شوید: برداشتن کامپوزیت دندان
مقایسه تعویض کامپوزیت با ترمیم لمینت
|
ویژگی |
تعویض کامپوزیت دندان |
ترمیم لمینت دندان |
|
جنس ماده |
رزین کامپوزیت |
سرامیک (پرسلن) |
|
دلیل اقدام |
فرسودگی، تغییر رنگ، شکستگی کامپوزیت |
شکستگی یا لب پریدگی لمینت سرامیکی |
|
فرآیند |
برداشتن کامل ماده قدیمی و جایگزینی با جدید |
معمولا غیرقابل ترمیم است و نیاز به تعویض کامل لمینت دارد |
|
تعداد جلسات |
معمولا یک جلسه |
دو یا چند جلسه (نیاز به لابراتوار) |
|
هزینه |
متوسط |
بالا |
|
میزان تهاجم |
کم تا متوسط (بستگی به برداشتن ماده قدیمی دارد) |
کم (اما نیاز به قالب گیری مجدد دارد) |
|
نتیجه نهایی |
بازیابی کامل زیبایی و عملکرد |
بازسازی کامل قطعه سرامیکی |
|
طول عمر پس از اقدام |
حدود ۵ تا ۱۰ سال |
حدود ۱۰ تا ۱۵ سال |
هزینه های مرتبط با تعویض کامپوزیت دندان
هزینه تعویض کامپوزیت دندان به عوامل متعددی بستگی دارد و می تواند متغیر باشد. یکی از اصلی ترین عوامل تعیین کننده هزینه، تعداد دندان هایی است که نیاز به تعویض کامپوزیت دارند. طبیعتا هزینه تعویض کامپوزیت برای یک دندان بسیار کمتر از هزینه اصلاح کامل طرح لبخند با تعویض ونیرهای متعدد خواهد بود. پیچیدگی فرآیند نیز در هزینه تاثیرگذار است. برداشتن یک پرکردگی کامپوزیتی کوچک در دندان خلفی، هزینه متفاوتی نسبت به تعویض یک ونیر کامپوزیتی بزرگ در دندان قدامی دارد.
کیفیت و برند ماده کامپوزیتی که برای جایگزینی استفاده می شود، عامل مهم دیگری است. کامپوزیت های نانوهیبرید یا نانوسرامیک که زیبایی و دوام بیشتری دارند، معمولا گران تر از کامپوزیت های میکروهیبرید قدیمی تر هستند. تخصص و تجربه دندانپزشک نیز در هزینه نهایی نقش دارد. دندانپزشکان متخصص زیبایی ممکن است هزینه بیشتری دریافت کنند، اما نتیجه کار آنها معمولا از نظر زیبایی و طول عمر، برتر است.
علاوه بر این، موقعیت جغرافیایی کلینیک و تعرفه های منطقه ای نیز می تواند بر هزینه تاثیر بگذارد. برای اطلاع دقیق از هزینه کامپوزیت دندان و تعویض آن، بهترین راه دریافت مشاوره مستقیم از دندانپزشک و ارائه یک برآورد هزینه مکتوب قبل از شروع درمان است.
بدانید: آیا کامپوزیت باعث پوسیدگی دندان میشود؟
چه زمانی بهترین موقع برای تعویض کامپوزیت دندان است؟
تشخیص زمان دقیق برای تعویض کامپوزیت دندان به ترکیبی از مشاهدات بیمار و ارزیابی حرفه ای دندانپزشک بستگی دارد. اگر متوجه تغییر رنگ واضحی در کامپوزیت های خود شده اید که با مسواک زدن یا پولیش برطرف نمی شود و تفاوت رنگ آنها با دندان های مجاور مشهود است، این یکی از نشانه های اصلی برای نیاز به تعویض است. نشانه مهم دیگر، مشاهده هرگونه آسیب فیزیکی مانند ترک، شکستگی یا لب پریدگی در سطح یا لبه های کامپوزیت است. حتی ترک های بسیار ریز نیز می توانند محلی برای نفوذ باکتری ها باشند.
علاوه بر این، احساس درد، حساسیت یا بوی نامطبوع در اطراف دندان کامپوزیت شده می تواند علامت وجود پوسیدگی در زیر ترمیم باشد که در این صورت تعویض کامپوزیت دندان امری ضروری و فوری است. در نهایت، بهترین راه برای تعیین زمان مناسب، مراجعه به بهترین کلینیک دندانپزشکی تهران برای معاینات منظم است تا دندانپزشک بتواند با ارزیابی دقیق، بهترین توصیه را به شما ارائه دهد.
مطالعه مفید: طول عمر کامپوزیت دندان
تفاوت تعویض کامپوزیت با برداشتن لمینت دندان
اگرچه هر دو فرآیند شامل برداشتن یک ماده ترمیمی از روی دندان هستند، اما تفاوت های مهمی بین تعویض کامپوزیت دندان و برداشتن لمینت دندان وجود دارد.
- جنس ماده: کامپوزیت از جنس رزین است که مستقیما روی دندان شکل داده می شود، در حالی که لمینت یک پوسته نازک سرامیکی است که در لابراتوار ساخته شده و روی دندان چسبانده می شود.
- فرآیند برداشتن: برداشتن کامپوزیت با استفاده از فرز و به صورت تراشیدن لایه به لایه انجام می شود. برداشتن لمینت دندان نیز با فرز انجام می شود اما به دلیل سختی بیشتر سرامیک، نیاز به دقت و زمان بیشتری دارد.
- میزان آسیب به دندان: در هر دو فرآیند، هدف اصلی حفظ ساختار سالم دندان است. اما به دلیل پیوند قوی تر لمینت های سرامیکی، برداشتن آنها ممکن است با ریسک بیشتری برای آسیب به مینای دندان همراه باشد.
- دلیل اقدام: تعویض کامپوزیت دندان معمولا به دلیل فرسودگی و تغییر رنگ است، در حالی که برداشتن لمینت اغلب به دلیل شکستگی یا تصمیم برای تغییر طرح لبخند صورت می گیرد.
- جایگزین پس از برداشتن: پس از برداشتن کامپوزیت، می توان آن را با کامپوزیت جدید، لمینت سرامیکی یا روکش جایگزین کرد. پس از برداشتن لمینت نیز معمولا باید آن را با یک لمینت جدید یا روکش جایگزین نمود.
مقاله مرتبط: تأثیر کامپوزیت بر چهره
عوارض احتمالی در فرآیند تعویض کامپوزیت دندان
فرآیند تعویض کامپوزیت دندان اگر توسط دندانپزشک ماهر انجام شود، یک روش بسیار ایمن و کم خطر است. با این حال، مانند هر اقدام دندانپزشکی دیگری، ممکن است با برخی عوارض احتمالی همراه باشد. یکی از شایع ترین عوارض، بروز حساسیت موقتی در دندان است.
در موارد نادر، ممکن است در حین برداشتن کامپوزیت قدیمی، به ساختار سالم دندان آسیب وارد شود، به خصوص اگر کامپوزیت بسیار قدیمی و پیوند آن با دندان ضعیف باشد. انتخاب یک دندانپزشک با تجربه که از ابزارهای بزرگنمایی استفاده می کند، این خطر را به حداقل می رساند. همچنین، اگر پوسیدگی زیر کامپوزیت قدیمی بسیار عمیق باشد، ممکن است پس از برداشتن آن مشخص شود که دندان نیاز به درمان ریشه دارد.
عدم تطابق رنگ کامپوزیت جدید با دندان های مجاور نیز یکی دیگر از عوارض احتمالی است که البته با انتخاب دقیق رنگ توسط دندانپزشک و استفاده از انواع کامپوزیت دندان با کیفیت، می توان از آن جلوگیری کرد. التهاب جزئی لثه نیز ممکن است به دلیل دستکاری در حین عمل رخ دهد که معمولا با رعایت بهداشت به سرعت بهبود می یابد.
انتخاب دندانپزشک مناسب برای تعویض کامپوزیت دندان
انتخاب دندانپزشک مناسب، مهم ترین عامل در موفقیت آمیز بودن فرآیند تعویض کامپوزیت دندان است. این کار نیاز به ترکیبی از مهارت فنی، دانش علمی و دید هنری دارد. دندانپزشکی که برای این کار انتخاب می کنید، باید تجربه کافی در زمینه دندانپزشکی زیبایی و ترمیمی داشته باشد. مشاهده نمونه کارهای قبلی دندانپزشک در زمینه ونیرهای کامپوزیتی می تواند معیار خوبی برای سنجش کیفیت کار او باشد.
یک دندانپزشک خوب باید بتواند کامپوزیت قدیمی را با حداقل آسیب به دندان سالم بردارد. استفاده از ابزارهای بزرگنمایی مانند لوپ های دندانپزشکی یا میکروسکوپ، نشانه دقت و تعهد دندانپزشک به حفظ ساختار دندان است. علاوه بر این، دندانپزشک باید از مواد کامپوزیتی با کیفیت بالا و از برندهای معتبر استفاده کند. مواد با کیفیت نه تنها ظاهر طبیعی تری دارند، بلکه از دوام و مقاومت بیشتری در برابر تغییر رنگ و سایش برخوردار هستند.
ارتباط خوب و موثر با دندانپزشک نیز بسیار مهم است. او باید با حوصله به انتظارات و نگرانی های شما گوش دهد و یک طرح درمان شفاف ارائه کند. انتخاب بهترین دندانپزشک منطقه 2 تهران می تواند به شما اطمینان دهد که فرآیند تعویض کامپوزیت دندان شما با بالاترین استانداردها و بهترین نتایج انجام خواهد شد.
انتظارات واقع بینانه از تعویض کامپوزیت دندان
اگرچه تعویض کامپوزیت دندان می تواند تحولی چشمگیر در زیبایی لبخند ایجاد کند، اما داشتن انتظارات واقع بینانه از نتایج آن برای رضایت بلند مدت بیمار ضروری است. کامپوزیت های جدید، با وجود پیشرفت های تکنولوژیک، همچنان موادی هستند که نیاز به مراقبت و نگهداری دارند و نباید آنها را indistructible یا تخریب ناپذیر دانست. نتیجه نهایی این فرآیند به شدت به عواملی مانند وضعیت اولیه دندان، سلامت لثه ها و مهم تر از همه، مهارت و هنر دندانپزشک بستگی دارد. هدف از تعویض کامپوزیت دندان، دستیابی به ظاهری طبیعی، سالم و هماهنگ با سایر اجزای صورت است، نه یک لبخند مصنوعی و اغراق آمیز.
یکی دیگر از انتظارات واقع بینانه، مربوط به طول عمر کامپوزیت جدید است. با مراقبت صحیح، این ترمیم ها می توانند سال ها دوام بیاورند، اما دائمی نیستند. کامپوزیت های جدید مقاومت بیشتری در برابر لکه پذیری دارند، اما همچنان در طول زمان و با مصرف مداوم مواد غذایی رنگی، ممکن است دچار تغییر رنگ جزئی شوند. برای دستیابی به بهترین نتیجه و افزایش طول عمر آن، انتخاب بهترین دکتر کامپوزیت دندان که از مواد با کیفیت و تکنیک های مدرن استفاده می کند، امری حیاتی است. همچنین، بیمار باید بپذیرد که برای حفظ درخشندگی و سلامت ترمیم های جدید، به مراجعات منظم برای پولیش و معاینات دوره ای نیاز خواهد داشت.
بررسی تفاوت تعویض کامپوزیت با روش های دیگر
|
ویژگی |
تعویض کامپوزیت دندان | روکش دندان |
ایمپلنت دندان |
|
هدف اصلی |
جایگزینی ترمیم کامپوزیتی فرسوده | پوشاندن کامل دندان آسیب دیده |
جایگزینی کامل دندان از دست رفته |
|
میزان تراش دندان |
حداقل (فقط برداشتن ماده قدیمی) | زیاد (تراش دور تا دور دندان) |
نیاز به جراحی در استخوان فک |
|
حفظ ساختار دندان |
حداکثری | متوسط |
دندان اصلی حذف می شود |
|
کاربرد |
دندان با ساختار سالم و کامپوزیت فرسوده | دندان با تخریب گسترده یا عصب کشی شده |
فضای خالی دندان کشیده شده |
|
طول درمان |
یک جلسه | حداقل دو جلسه |
چندین ماه |
|
هزینه |
متوسط | بالاتر از کامپوزیت |
بالاترین هزینه |
مشاوره تخصصی تعویض کامپوزیت دندان در سعادت آباد
در منطقه سعادت آباد، این امکان برای شما فراهم است تا از دانش و تجربه یک دندانپزشک متخصص بهره مند شوید. مراجعه به بهترین دندانپزشک در شمال تهران به شما کمک می کند تا با یک ارزیابی دقیق، از ضرورت و بهترین روش برای تعویض کامپوزیت دندان خود مطلع شوید. در این جلسه، تمام گزینه های درمانی، از جمله استفاده از انواع مختلف کامپوزیت یا جایگزین هایی مانند لمینت سرامیکی، به همراه مزایا، معایب و هزینه های هر کدام برای شما تشریح خواهد شد.
خدمات تخصصی ارتودنسی در کلینیک دکتر آزادخواه
این کلینیک با ارائه طیف کاملی از خدمات ارتودنسی، به اصلاح ناهنجاری های دندانی و فکی در تمام سنین می پردازد تا زمینه را برای یک لبخند زیبا و سالم فراهم کند.
- ارتودنسی ثابت: روش کلاسیک و موثر برای درمان انواع شلوغی ها و ناهنجاری های دندانی.
- ارتودنسی متحرک: دستگاه های متحرک برای درمان های ساده تر و به عنوان نگهدارنده پس از درمان.
- ارتودنسی نامرئی: استفاده از الاینرهای شفاف برای یک درمان راحت و تقریبا نامشخص.
- ارتودنسی لینگوال: قرار دادن براکت ها در پشت دندان ها برای حداکثر زیبایی در طول درمان.
- ارتودنسی کودکان: درمان های پیشگیرانه برای هدایت رشد صحیح فک و دندان ها.
خدمات جامع دندانپزشکی در کلینیک دکتر آزادخواه
علاوه بر خدمات تخصصی زیبایی، این مرکز مجموعه کاملی از خدمات دندانپزشکی را برای پاسخگویی به تمام نیازهای درمانی شما ارائه می دهد.
- ایمپلنت دندان: جایگزینی دندان های از دست رفته با بهترین برند ها برای بازگرداندن قابلیت جویدن و زیبایی.
- لمینت دندان: اصلاح کامل طرح لبخند با استفاده از پوسته های نازک و مقاوم سرامیکی.
- درمان ریشه دندان: انجام درمان عصب کشی برای نجات دندان های به شدت آسیب دیده.
- جراحی دندان عقل: کشیدن ایمن و بدون استرس دندان های عقل نهفته.
- لمینت سرامیکی: طراحی و ساخت انواع لمینت دندان از جمله لومینیرز و ایمکس برای اصلاح کامل طرح لبخند.
- اصلاح طرح لبخند: ارائه یک برنامه درمانی جامع و ترکیبی برای بازسازی کامل زیبایی لبخند شما.
- دندانپزشک زیبایی: ارائه انواع خدمات زیبایی برای دستیابی به لبخندی درخشان, جذاب و کاملا منحصر به فرد.
به مشاوره نیاز دارید؟
فرم مشاوره و رزرو وقت
نتیجه گیری
تعویض کامپوزیت دندان یک فرآیند مهم در دندانپزشکی زیبایی و ترمیمی است که به حفظ سلامت دندان و بازیابی زیبایی لبخند کمک شایانی می کند. با گذشت زمان، فرسودگی کامپوزیت های قدیمی امری طبیعی است و اقدام به موقع برای جایگزینی آنها می تواند از بروز مشکلات جدی تری مانند پوسیدگی های ثانویه جلوگیری کند. این فرآیند، فرصتی است تا با استفاده از مواد جدیدتر و تکنیک های پیشرفته تر، نتیجه ای حتی بهتر و طبیعی تر از ترمیم اولیه به دست آورد.
انتخاب یک دندانپزشک ماهر و با تجربه، استفاده از مواد با کیفیت و رعایت دقیق مراقبت های پس از تعویض، سه رکن اصلی برای دستیابی به یک نتیجه موفق و ماندگار هستند. با انجام معاینات منظم و مشورت با دندانپزشک، می توان بهترین زمان را برای این کار تشخیص داد و برای سال های طولانی از یک لبخند زیبا و سالم لذت برد. فرق لمینت و کامپوزیت و ایمپلنت در کاربرد آنهاست و برای دندانی که نیاز به تعویض ترمیم دارد، کامپوزیت یا لمینت بهترین گزینه ها هستند.
سوالات متداول
آیا فرآیند تعویض کامپوزیت دندان دردناک است؟
خیر، این فرآیند معمولا بدون درد است. دندانپزشک ممکن است از بی حسی موضعی استفاده کند تا بیمار در حین برداشتن کامپوزیت قدیمی هیچ گونه ناراحتی احساس نکند.
طول عمر کامپوزیت جدید چقدر خواهد بود؟
طول عمر کامپوزیت جدید به طور متوسط بین ۵ تا ۱۰ سال است. این مدت زمان با رعایت بهداشت، رژیم غذایی مناسب و مراجعه منظم به بهترین دندانپزشک تهران برای چکاپ، قابل افزایش است.
آیا بعد از تعویض کامپوزیت دندان، دندان ضعیف تر می شود؟
خیر، اگر فرآیند توسط دندانپزشک ماهر انجام شود، کامپوزیت قدیمی با حداقل آسیب به ساختار دندان برداشته می شود.
هزینه تعویض کامپوزیت دندان چقدر است؟
به عواملی مانند تعداد دندان ها، پیچیدگی کار و نوع ماده کامپوزیت بستگی دارد. هزینه لمینت دندان معمولا بالاتر از تعویض کامپوزیت است، اما برای اطلاع دقیق باید با دندانپزشک مشورت کرد.
آیا می توان رنگ کامپوزیت جدید را روشن تر از قبل انتخاب کرد؟
بله، یکی از مزایای تعویض کامپوزیت دندان این است که شما می توانید با مشورت دندانپزشک، رنگ جدید و روشن تری را برای لبخند خود انتخاب کنید.
تفاوت اصلی تعویض کامپوزیت با ترمیم آن چیست؟
ترمیم معمولا برای رفع یک مشکل جزئی مانند لب پریدگی کوچک انجام می شود. اما تعویض به معنای برداشتن کامل ماده قدیمی و جایگزینی آن است که برای مشکلات گسترده تر مانند تغییر رنگ کلی یا فرسودگی انجام می گیرد. ترمیم دندان یک راه حل محافظه کارانه تر است.
آیا امکان تعویض پرکردگی های آمالگام قدیمی با کامپوزیت وجود دارد؟
بله، بسیاری از افراد تمایل دارند پرکردگی های فلزی و تیره رنگ آمالگام خود را با مواد کامپوزیتی همرنگ دندان تعویض کنند که این کار هم از نظر زیبایی و هم از نظر حذف جیوه، مزایایی دارد.
منابع:










