عفونت لثه یک مشکل جدی است که از التهاب خفیف شروع شده و در صورت عدم درمان به تحلیل استخوان فک و از دست دادن دندان ها منجر میشود. این مقاله به بررسی کامل علل ایجاد عفونت لثه، علائم هشدار دهنده آن در مراحل مختلف، و روش های تشخیص و درمان حرفه ای میپردازد. ما به تفصیل در مورد راهکارهای پیشگیری خانگی، درمان های کلینیکی مانند جرم گیری و جراحی و همچنین ارتباط این بیماری با سلامت کلی بدن صحبت میکنیم. شناخت این موارد به شما کمک میکند تا با مراجعه به موقع به بهترین کلینیک دندانپزشکی تهران و دکتر مژگان آزاد خواه دندانپزشک در سعادت آباد، از سلامت لثه و دندان های خود محافظت کنید و از عوارض شدیدتر جلوگیری نمایید.
لینک مفید: مشاوره ایمپلنت دندان
به مشاوره نیاز دارید؟
فرم مشاوره و رزرو وقت
راهنمای کامل شناخت و درمان عفونت لثه
عفونت لثه که با نام علمی بیماری پریودنتال نیز شناخته میشود، یک وضعیت التهابی است که بافت های نرم اطراف دندان را تحت تاثیر قرار میدهد. اگر این بیماری نادیده گرفته شود، میتواند به ساختار استخوانی که از دندان ها حمایت میکند آسیب جدی وارد کرده و در نهایت منجر به لق شدن و از دست دادن دندان ها شود. مراحل اولیه این بیماری که به آن ژنژیویت میگویند، معمولا با قرمزی، تورم و خونریزی لثه ها همراه است. خوشبختانه این مرحله با رعایت بهداشت دهان و دندان و مراجعه به دندانپزشک کاملا قابل درمان است. با این حال، پیشرفت بیماری به مرحله پریودنتیت، نیازمند مداخلات پیچیده تری خواهد بود. مراجعه منظم به یک دندانپزشک ماهر برای تشخیص و درمان به موقع اهمیت فوق العاده ای دارد.
بیشتر بدانید: درمان های خانگی بوی بد دهان
شایع ترین دلایل بروز عفونت لثه کدامند؟
علت اصلی عفونت لثه، تجمع پلاک دندان است. پلاک یک لایه چسبناک و بی رنگ از باکتری ها است که به طور مداوم روی دندان ها تشکیل میشود. اگر این پلاک با مسواک زدن و نخ دندان کشیدن روزانه پاک نشود، باکتری های موجود در آن سمومی تولید میکنند که لثه ها را تحریک کرده و باعث التهاب میشوند. با گذشت زمان، این پلاک میتواند به ماده ای سخت به نام جرم یا تار تار تبدیل شود که برداشتن آن فقط با ابزار های تخصصی دندانپزشکی امکان پذیر است. عوامل متعددی میتوانند ریسک ابتلا به این بیماری را افزایش دهند که در ادامه به مهم ترین آنها اشاره میکنیم.
- بهداشت ضعیف دهان و دندان
اصلی ترین و مستقیم ترین علت ایجاد عفونت لثه، عدم رعایت صحیح بهداشت دهان است. مسواک نزدن به طور منظم و صحیح و استفاده نکردن از نخ دندان باعث میشود پلاک های باکتریایی فرصت کافی برای تجمع و سخت شدن روی سطوح دندان و در امتداد خط لثه را پیدا کنند. این باکتری ها به مرور زمان باعث تحریک و التهاب بافت لثه میشوند که اولین مرحله از بیماری های لثه است و میتواند زمینه ساز مشکلات جدی تری مانند پریودنتیت شود. - عوامل ژنتیکی و سابقه خانوادگی
برخی افراد به دلایل ژنتیکی بیشتر از دیگران مستعد ابتلا به بیماری لثه هستند. اگر در خانواده شما سابقه بیماری های لثه وجود دارد، حتی با رعایت کامل بهداشت دهان، ممکن است شما نیز در معرض خطر بیشتری باشید. این استعداد ژنتیکی میتواند بر نحوه واکنش سیستم ایمنی بدن شما به باکتری های پلاک تاثیر بگذارد و شما را نسبت به عفونت لثه آسیب پذیرتر کند. بنابراین، آگاهی از سابقه خانوادگی و انجام معاینات منظم دندانپزشکی برای این افراد اهمیت دو چندانی دارد. - تغییرات هورمونی
نوسانات هورمونی در دوره های خاصی از زندگی مانند بلوغ، بارداری و یائسگی میتواند لثه ها را حساس تر و مستعد التهاب کند. در دوران بارداری، وضعیتی به نام “ژنژیویت بارداری” شایع است که به دلیل افزایش سطح هورمون ها رخ میدهد. به همین دلیل، مشاهده خونریزی لثه در بارداری یک علامت هشدار دهنده است که نیازمند توجه و مراقبت ویژه میباشد تا از تبدیل شدن آن به یک عفونت لثه جدی جلوگیری شود. - بیماری های زمینه ای
برخی بیماری ها مانند دیابت کنترل نشده، سیستم ایمنی بدن را تضعیف کرده و مبارزه با عفونت ها از جمله عفونت لثه را دشوارتر میسازند. افراد دیابتی معمولا در معرض خطر بیشتری برای ابتلا به پریودنتیت شدید قرار دارند. همچنین، بیماری هایی مانند سرطان یا ایدز و درمان های مرتبط با آنها میتوانند بر سلامت لثه ها تاثیر منفی بگذارند و روند بهبودی را کند کنند. - مصرف دخانیات و سیگار
استعمال دخانیات یکی از مهم ترین عوامل خطر برای پیشرفت بیماری های لثه است. سیگار کشیدن توانایی بافت لثه برای ترمیم خود را مختل میکند و همچنین میتواند علائم اولیه عفونت لثه مانند خونریزی را پنهان کند و تشخیص را به تاخیر بیندازد. افراد سیگاری معمولا پاسخ ضعیف تری به درمان های لثه میدهند و احتمال موفقیت روش هایی مانند ایمپلنت دندان در آنها کمتر است.
بیشتر بدانید: بوی بد دهان بعد از ایمپلنت | ساکشن دندانپزشکی
علائم هشدار دهنده عفونت لثه که نباید نادیده بگیرید
شناخت علائم عفونت لثه اولین قدم برای درمان به موقع و جلوگیری از عوارض جدی تر است. این علائم میتوانند در ابتدا خفیف باشند اما با پیشرفت بیماری شدیدتر میشوند. لثه های سالم باید صورتی رنگ و سفت باشند و به طور محکم دور دندان ها قرار بگیرند. هرگونه تغییر در ظاهر یا حس لثه ها میتواند نشانه ای از وجود مشکل باشد. در صورت مشاهده هر یک از علائم زیر، توصیه میشود در اسرع وقت برای معاینه به دندانپزشک مراجعه کنید تا از پیشرفت عفونت لثه جلوگیری شود.
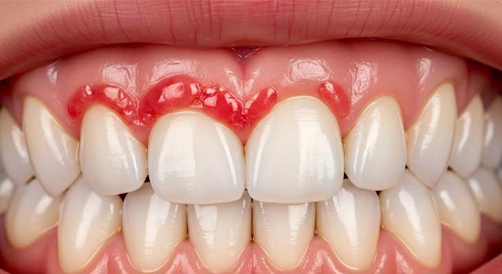
- قرمزی، تورم و حساسیت لثه ها
یکی از اولین و بارز ترین نشانه های وجود مشکل در لثه، تغییر رنگ و حالت آن است. لثه های ملتهب به رنگ قرمز روشن یا حتی بنفش در می آیند و متورم به نظر میرسند. این لثه ها ممکن است در هنگام لمس یا مسواک زدن حساس و دردناک باشند. این علائم نشان دهنده واکنش بدن به تجمع باکتری ها در خط لثه است و نباید به سادگی از کنار آن گذشت. گاهی تورم لثه در کودکان نیز مشاهده میشود که باید توسط دندانپزشک بررسی گردد. - خونریزی هنگام مسواک زدن یا نخ دندان کشیدن
لثه های سالم به ندرت خونریزی میکنند. اگر هنگام مسواک زدن یا استفاده از نخ دندان، حتی با ملایمت، متوجه خونریزی میشوید، این یک علامت کلاسیک از ژنژیویت یا مرحله اولیه عفونت لثه است. بسیاری از افراد به اشتباه تصور میکنند این خونریزی طبیعی است و یا به دلیل محکم مسواک زدن است، اما در واقع این یک زنگ خطر است. دانستن اینکه خونریزی لثه نشانه چیست؟ بسیار مهم است زیرا به تشخیص زودهنگام بیماری کمک میکند. - بوی بد دهان مداوم
بوی بد دهان یا هالیتوزیس که با مسواک زدن و استفاده از دهانشویه از بین نمیرود، میتواند نشانه ای از وجود عفونت لثه باشد. این بو ناشی از تجمع باکتری ها در دهان و ترکیبات گوگردی است که آنها تولید میکنند. همچنین، ایجاد پاکت یا فضاهایی بین لثه و دندان میتواند محلی برای گیر کردن ذرات غذا و رشد بیشتر باکتری ها باشد که به تشدید بوی بد دهان منجر میشود. - عقب نشینی لثه ها
با پیشرفت بیماری پریودنتال، لثه ها شروع به عقب نشینی از روی دندان ها میکنند. این وضعیت باعث میشود دندان ها بلندتر از حد معمول به نظر برسند و ریشه آنها نمایان شود. عقب نشینی لثه نه تنها از نظر زیبایی ناخوشایند است، بلکه ریشه های حساس دندان را در معرض پوسیدگی و حساسیت دندان ها به سرما و گرما قرار میدهد. این فرآیند میتواند به تحلیل استخوان فک نیز منجر شود.
بدانید: فاصله بین کشیدن دندان تا ایمپلنت
مراحل پیشرفت بیماری لثه از ژنژیویت تا پریودنتیت
بیماری لثه یک شبه اتفاق نمی افتد و طی مراحل مختلفی پیشرفت میکند. شناخت این مراحل به درک بهتر شدت بیماری و لزوم درمان فوری کمک میکند. به طور کلی، عفونت لثه به دو دسته اصلی تقسیم میشود: ژنژیویت که مرحله اولیه و برگشت پذیر است، و پریودنتیت که مرحله پیشرفته تر و مخرب تر بیماری محسوب میشود و میتواند آسیب های دائمی به همراه داشته باشد. مداخله در مراحل اولیه میتواند از پیشرفت بیماری و نیاز به درمان های پیچیده جلوگیری کند. به همین دلیل انجام جرمگیری دندان به صورت منظم اهمیت زیادی دارد.
- مرحله اول: ژنژیویت (Gingivitis)
ژنژیویت اولین مرحله از بیماری های لثه است و در اثر تجمع پلاک های باکتریایی در خط لثه ایجاد میشود. علائم اصلی آن شامل قرمزی، تورم و خونریزی لثه ها هنگام مسواک زدن است. در این مرحله، هنوز هیچ آسیب دائمی به استخوان و بافت های همبند نگهدارنده دندان وارد نشده است. خبر خوب این است که ژنژیویت با رعایت دقیق بهداشت دهان و دندان و تمیز کردن حرفه ای توسط دندانپزشک، کاملا قابل درمان و برگشت پذیر است و میتوان از پیشرفت آن به عفونت لثه شدیدتر جلوگیری کرد. - مرحله دوم: پریودنتیت خفیف (Mild Periodontitis)
اگر ژنژیویت درمان نشود، به پریودنتیت تبدیل میشود. در این مرحله، التهاب از لثه فراتر رفته و به استخوان نگهدارنده دندان ها میرسد. لثه ها شروع به جدا شدن از دندان ها میکنند و پاکت های پریودنتال تشکیل میشوند. این پاکت ها محل مناسبی برای تجمع بیشتر پلاک و باکتری هستند. در این مرحله، آسیب به استخوان شروع شده است اما هنوز شدید نیست. درمان در این مرحله برای جلوگیری از تخریب بیشتر ضروری است. - مرحله سوم: پریودنتیت متوسط تا شدید (Moderate to Severe Periodontitis)
در این مراحل پیشرفته، تخریب استخوان و بافت های همبند به طور قابل توجهی افزایش می یابد. پاکت های پریودنتال عمیق تر شده و باعث لق شدن دندان ها میشوند. ممکن است در این مرحله متوجه تغییر در نحوه قرارگیری دندان ها روی هم شوید. عفونت دندان و تشکیل آبسه نیز در این مرحله شایع است. بدون درمان فوری و تخصصی، خطر از دست دادن دندان ها بسیار بالا میرود. در موارد شدید، ممکن است نیاز به درمان های جراحی مانند جراحی لثه با لیزر باشد.
بیشتر بدانید: کاشت مجدد ایمپلنت
مقاله مفید: تغذیه بعد از ایمپلنت دندان
روش های تشخیص عفونت لثه توسط دندانپزشک
تشخیص دقیق عفونت لثه نیازمند معاینه کامل توسط دندانپزشک است. دندانپزشک با استفاده از ابزار ها و تکنیک های مختلف، شدت بیماری و میزان آسیب وارد شده به بافت های دهان را ارزیابی میکند. این تشخیص زودهنگام بسیار حیاتی است، زیرا هر چه عفونت لثه زودتر شناسایی شود، درمان آن ساده تر و موفقیت آمیزتر خواهد بود. در طول جلسه معاینه، دندانپزشک چندین جنبه از سلامت دهان شما را بررسی خواهد کرد تا یک تصویر کامل از وضعیت موجود به دست آورد.
- معاینه چشمی و بررسی سوابق پزشکی
اولین قدم، معاینه چشمی لثه ها برای بررسی علائمی مانند قرمزی، تورم و خونریزی است. دندانپزشک همچنین در مورد سوابق پزشکی و دندانپزشکی شما، عادات بهداشتی، مصرف دخانیات و هر گونه بیماری زمینه ای که ممکن است بر سلامت لثه های شما تاثیر بگذارد، سوال خواهد کرد. این اطلاعات به دندانپزشک کمک میکند تا عوامل خطر احتمالی را شناسایی کند. - اندازه گیری عمق پاکت پریودنتال
یکی از مهم ترین روش های تشخیص، استفاده از یک ابزار مدرج به نام “پروب پریودنتال” است. دندانپزشک این ابزار را به آرامی بین لثه و دندان در چندین نقطه وارد میکند تا عمق شیار لثه (سولکوس) را اندازه گیری کند. در لثه سالم، این عمق معمولا بین 1 تا 3 میلی متر است. عمق بیشتر از 4 میلی متر نشان دهنده وجود پاکت پریودنتال و پیشرفت عفونت لثه است که نیاز به درمان دارد. - استفاده از رادیوگرافی (عکس اشعه ایکس)
عکس های رادیوگرافی دندان به دندانپزشک اجازه میدهند تا وضعیت استخوان زیر خط لثه را مشاهده کند. این تصاویر برای ارزیابی میزان تحلیل استخوان ناشی از پریودنتیت ضروری هستند. از دست دادن استخوان یکی از علائم کلیدی بیماری پیشرفته لثه است و رادیوگرافی تنها راه برای مشاهده مستقیم این آسیب و برنامه ریزی برای درمان هایی مانند لمینت دندان پس از تثبیت وضعیت لثه است.
مقاله مفید: مراقبت های بعد از کاشت ایمپلنت
آشنا شوید: مراقبت های بعد از کشیدن دندان
درمان های غیر جراحی برای مقابله با عفونت لثه
درمان عفونت لثه به شدت و مرحله بیماری بستگی دارد. هدف اصلی از درمان، کنترل عفونت، متوقف کردن پیشرفت بیماری و بازگرداندن سلامت به بافت های لثه است. درمان ها میتوانند از روش های غیر جراحی ساده تا جراحی های پیچیده متغیر باشند. انتخاب بهترین دندانپزشک در تهران و روش درمانی پس از یک معاینه دقیق و بر اساس نیازهای فردی بیمار تعیین میشود. همکاری بیمار در رعایت بهداشت دهان پس از درمان، نقش کلیدی در موفقیت طولانی مدت آن دارد.
بیشتر بدانید: ایمپلنت دو مرحله ای
چه میدانید: درد کامپوزیت دندان
| ویژگی | ژنژیویت (Gingivitis) | پریودنتیت (Periodontitis) |
| علائم اصلی | قرمزی، تورم، خونریزی لثه | علائم ژنژیویت + تحلیل لثه، پاکت عمیق، لق شدن دندان |
| آسیب به استخوان | خیر | بله، آسیب دائمی به استخوان فک |
| برگشت پذیری | کاملا برگشت پذیر با بهداشت مناسب | غیر قابل برگشت، اما قابل کنترل و مدیریت |
| درمان اصلی | جرم گیری حرفه ای و رعایت بهداشت | جرم گیری عمیق، جراحی لثه، درمان های پیشرفته |
چه ارتباطی بین سلامت لثه و سلامت عمومی بدن وجود دارد؟
شاید برایتان عجیب باشد اما ارتباط بین سلامت دهان و سلامت بدن بسیار قوی تر از آن چیزی است که تصور میکنید. باکتری های ناشی از عفونت لثه شدید میتوانند از طریق جریان خون به سایر قسمت های بدن منتقل شده و باعث ایجاد یا تشدید مشکلات سلامتی جدی شوند. این موضوع نشان میدهد که دهان دروازه ای به سلامت کل بدن است و رسیدگی به مشکلاتی مانند عفونت لثه فقط برای حفظ دندان ها نیست، بلکه برای حفظ سلامت عمومی شما ضروری است. تحقیقات علمی متعددی این ارتباطات را تایید کردند.
یاد بگیرید: مراقبت های پس از ترمیم با آمالگام
درمان عفونت لثه در سعادت آباد توسط دکتر مژگان آزاد خواه
انتخاب یک دندانپزشک با تجربه و متخصص برای درمان عفونت لثه نقش حیاتی در موفقیت درمان و حفظ سلامت دهان و دندان شما دارد. در منطقه سعادت آباد تهران، کلینیک مژگان آزاد خواه دندانپزشک منطقه 2 تهران با بهره گیری از دانش روز و تجهیزات مدرن، خدمات تخصصی در زمینه تشخیص و درمان انواع بیماری های لثه را ارائه میدهد. تمرکز بر تشخیص دقیق و به موقع، ارائه طرح درمان شخصی سازی شده برای هر بیمار و استفاده از روش های کم تهاجمی مانند لیزر، از ویژگی های برجسته خدمات در این مرکز است تا بیماران بتوانند با اطمینان خاطر سلامت لثه های خود را بازیابند. گاهی اوقات شلوغی دندان ها میتواند تمیز کردن آنها را دشوار کرده و ریسک عفونت را بالا ببرد که در این موارد ممکن است درمان های ارتودنسی کودکان یا بزرگسالان نیز توصیه شود.
بیشتر بدانید: ایمپلنت ساب پریواستیل
روش های خانگی و راهکارهای پیشگیری از عفونت لثه
بهترین راه برای مقابله با عفونت لثه، پیشگیری از وقوع آن است. رعایت یک روال بهداشتی منظم و دقیق در خانه میتواند تا حد زیادی از تجمع پلاک و ایجاد التهاب جلوگیری کند. این اقدامات ساده اما موثر، خط اول دفاعی شما در برابر عفونت لثه هستند و میتوانند شما را از نیاز به درمان های پیچیده و پر هزینه دندانپزشکی بی نیاز کنند. به یاد داشته باشید که پیشگیری همیشه بهتر، آسان تر و کم هزینه تر از درمان است.
- مسواک زدن صحیح و منظم
حداقل دو بار در روز، هر بار به مدت دو دقیقه، با استفاده از یک مسواک نرم و خمیر دندان حاوی فلوراید مسواک بزنید. اطمینان حاصل کنید که تمام سطوح دندان ها، به ویژه خط لثه که محل اصلی تجمع پلاک است، را به خوبی تمیز میکنید. استفاده از تکنیک صحیح مسواک زدن، مانند حرکات دایره ای ملایم، برای جلوگیری از پوسیدگی دندان و آسیب به لثه ها ضروری است. - استفاده روزانه از نخ دندان
نخ دندان تنها راه برای تمیز کردن فضاهای بین دندانی و زیر خط لثه است، جایی که مسواک به آن دسترسی ندارد. استفاده روزانه از نخ دندان برای حذف پلاک و ذرات غذا از این نواحی حیاتی است. عدم استفاده از نخ دندان میتواند منجر به پوسیدگی دندان شیری کودکان و همچنین شروع عفونت لثه شود. در صورت نیاز به درمان های زیبایی مانند کامپوزیت دندان، داشتن لثه های سالم یک پیش نیاز است. - استفاده از دهانشویه های ضد عفونی کننده
استفاده از دهانشویه های آنتی باکتریال میتواند به عنوان یک مکمل در کنار مسواک و نخ دندان، به کاهش باکتری های دهان و کنترل پلاک کمک کند. با این حال، دهانشویه هرگز نباید جایگزین مسواک زدن و نخ دندان کشیدن شود. برای انتخاب دهانشویه مناسب، بهتر است با دندانپزشک خود مشورت کنید. برخی افراد با وجود رعایت بهداشت ممکن است با سفید شدن لثه مواجه شوند که باید توسط متخصص بررسی گردد. - داشتن رژیم غذایی سالم
یک رژیم غذایی متعادل و سرشار از ویتامین ها و مواد معدنی، به ویژه ویتامین C و کلسیم، به تقویت سیستم ایمنی بدن و سلامت لثه ها کمک میکند. از مصرف بیش از حد مواد قندی و نشاسته ای که به رشد باکتری های پلاک کمک میکنند، خودداری کنید. نوشیدن آب فراوان نیز به شستشوی دهان و حذف ذرات غذا کمک میکند. برای داشتن یک لبخند زیبا، علاوه بر سلامت لثه، میتوان از روش های اصلاح طرح لبخند نیز بهره برد.
لینک مفید: تحلیل لثه در ارتودنسی
گزینه های درمانی پیشرفته و جراحی برای عفونت لثه
زمانی که عفونت لثه از مرحله ژنژیویت عبور کرده و به پریودنتیت تبدیل میشود، درمان های غیر جراحی ممکن است کافی نباشند. در این موارد، برای دسترسی به نواحی عمیق تر، حذف کامل جرم و باکتری و ترمیم آسیب های وارد شده به استخوان و بافت های نگهدارنده، نیاز به مداخلات جراحی و روش های پیشرفته تر است. این درمان ها توسط پریودنتیست (متخصص بیماری های لثه) یا دندانپزشک عمومی با تجربه انجام میشود. این نوع عفونت دندان عصب کشی شده نیز میتواند به لثه سرایت کند.
- جرم گیری عمیق (Scaling and Root Planing)
این روش که به عنوان درمان خط اول برای پریودنتیت شناخته میشود، یک فرآیند دو مرحله ای است. در مرحله اول (Scaling)، دندانپزشک تمام پلاک و جرم را از بالای خط لثه و از داخل پاکت های پریودنتال پاک میکند. در مرحله دوم (Root Planing)، سطوح ناهموار ریشه دندان صاف میشود تا از تجمع مجدد باکتری ها جلوگیری کرده و به لثه ها کمک کند تا دوباره به دندان بچسبند. این درمان برای کنترل بیماری پریودنتال بسیار موثر است. - جراحی فلپ لثه (Flap Surgery)
در موارد پریودنتیت متوسط تا شدید، ممکن است نیاز به جراحی فلپ باشد. در این روش، دندانپزشک برش های کوچکی در لثه ایجاد میکند تا قسمتی از آن را کنار زده و به ریشه ها و استخوان دسترسی مستقیم پیدا کند. این کار امکان جرم گیری و صاف کردن ریشه ها را به طور کامل فراهم میکند. پس از تمیز کردن، لثه به جای خود بازگردانده شده و بخیه زده میشود تا به طور محکم دور دندان قرار گیرد و عمق پاکت کاهش یابد. - پیوند استخوان (Bone Grafting)
اگر عفونت لثه باعث تخریب استخوان نگهدارنده دندان شده باشد، ممکن است نیاز به پیوند استخوان باشد. در این روش، از مواد پیوندی (که میتواند از بدن خود فرد، منابع انسانی دیگر، حیوانی یا مواد مصنوعی باشد) برای جایگزینی استخوان از دست رفته استفاده میشود. این کار به بازسازی و تقویت استخوان فک کمک کرده و بستری محکم برای دندان ها یا حتی برای کاشت توسط متخصص ارتودنسی فراهم میکند. - پیوند بافت نرم (Soft Tissue Grafts)
این روش برای درمان عقب نشینی لثه و پوشاندن ریشه های نمایان شده استفاده میشود. در این جراحی، بافتی از سقف دهان یا منبع دیگری برداشته شده و به ناحیه ای که لثه تحلیل رفته است، پیوند زده میشود. این کار نه تنها ظاهر لثه را بهبود میبخشد، بلکه از حساسیت ریشه ها کاسته و از تحلیل بیشتر لثه جلوگیری میکند.
مطلع شوید: مراقبت های بعد از جراحی لثه
عفونت لثه در گروه های خاص
برخی گروه ها به دلیل شرایط فیزیولوژیکی یا بیماری های خاص، بیشتر در معرض خطر ابتلا به عفونت لثه قرار دارند. درک این ریسک فاکتورها و انجام مراقبت های ویژه برای این افراد، برای حفظ سلامت دهان و دندان آنها ضروری است. دندانپزشکان باید در هنگام درمان این بیماران، شرایط خاص آنها را در نظر بگیرند. همچنین، روش های درمانی مانند ارتودنسی متحرک ممکن است نیاز به مراقبت های بهداشتی دقیق تری داشته باشند تا از التهاب لثه جلوگیری شود.
اهمیت معاینات منظم دندانپزشکی
حتی اگر هیچ علامتی از عفونت لثه نداشته باشید، معاینات منظم دندانپزشکی (معمولا هر شش ماه یکبار) برای حفظ سلامت دهان و دندان ضروری است. در این مراجعات، دندانپزشک میتواند مشکلات را در مراحل اولیه که درمان آنها بسیار ساده تر است، تشخیص دهد. همچنین، جرم گیری حرفه ای میتواند پلاک ها و جرم های سخت شده ای را که با مسواک زدن پاک نمیشوند، از بین ببرد و از شروع بیماری های لثه جلوگیری کند. این معاینات همچنین فرصتی برای دریافت مشاوره در مورد روش های درمانی مانند ارتودنسی ثابت یا لمینت سرامیکی است.
نتیجه گیری
عفونت لثه یک بیماری شایع اما قابل پیشگیری و درمان است که از التهاب ساده لثه شروع شده و میتواند به تخریب شدید استخوان و از دست دادن دندان ها منجر شود. کلید مقابله با این بیماری، تشخیص به موقع علائمی مانند خونریزی، تورم و بوی بد دهان و مراجعه فوری به دندانپزشک است. رعایت بهداشت دقیق دهان و دندان در خانه و انجام معاینات و جرم گیری های منظم، بهترین راه برای پیشگیری است. در صورت نیاز به درمان، روش های متنوعی از جرم گیری عمیق تا جراحی های پیشرفته در دسترس هستند. دکتر مژگان آزاد خواه، به عنوان بهترین دندانپزشک سعادت آباد، با ارائه خدمات تخصصی و به روز، میتواند شما را در مسیر حفظ و بازیابی سلامت لثه هایتان یاری کند. به یاد داشته باشید که سلامت دهان و سلامت قلب: یک رابطه درهم تنیده است و سرمایه گذاری برای سلامت دهان، سرمایه گذاری برای سلامت کل بدن شماست.
به مشاوره نیاز دارید؟
فرم مشاوره و رزرو وقت
سوالات متداول
آیا عفونت لثه مسری است؟
باکتری های عامل عفونت لثه میتوانند از طریق بزاق (مثلا استفاده مشترک از مسواک یا ظروف غذا) منتقل شوند. با این حال، صرف انتقال باکتری برای ایجاد بیماری کافی نیست. مستعد بودن فرد و وضعیت بهداشت دهان او نقش اصلی را در ابتلا به عفونت لثه ایفا میکند.
آیا درمان عفونت لثه دردناک است؟
بسیاری از درمان های لثه، به ویژه روش های غیر جراحی مانند جرم گیری عمیق، با استفاده از بی حسی موضعی انجام میشوند تا بیمار هیچ دردی را احساس نکند. پس از درمان نیز ممکن است کمی حساسیت یا ناراحتی وجود داشته باشد که با مسکن های معمولی قابل کنترل است. روش های مدرن مانند درمان ریشه دندان نیز امروزه با کمترین درد انجام میشوند.
چه مدت طول میکشد تا عفونت لثه درمان شود؟
مدت زمان درمان به شدت بیماری بستگی دارد. ژنژیویت ممکن است ظرف چند هفته با بهبود بهداشت دهان درمان شود. اما درمان پریودنتیت ممکن است چندین ماه طول بکشد و نیازمند جلسات متعدد درمانی و دوره بهبودی پس از جراحی باشد. روش هایی مانند ارتودنسی نامرئی نیز یک دوره درمانی مشخص دارند.
آیا عفونت لثه میتواند خود به خود خوب شود؟
خیر. مرحله اولیه یعنی ژنژیویت با رعایت دقیق بهداشت دهان و دندان ممکن است بهبود یابد، اما پریودنتیت که با تخریب استخوان همراه است، هرگز خود به خود درمان نمیشود و بدون مداخله حرفه ای دندانپزشکی، به طور مداوم پیشرفت کرده و بدتر میشود. حتی لیفت لثه نیز نیازمند دخالت پزشکی است.
آیا دندان های ایمپلنت شده نیز دچار عفونت لثه میشوند؟
بله، بافت های اطراف ایمپلنت نیز میتوانند دچار عفونت شوند که به آن “پری ایمپلنتیت” میگویند. این وضعیت بسیار شبیه به پریودنتیت است و در صورت عدم درمان میتواند منجر به از دست رفتن ایمپلنت شود. بنابراین، مراقبت های بهداشتی دقیق برای ایمپلنت ها نیز ضروری است.
آیا عفونت لثه باعث بوی بد دهان میشود؟
بله، یکی از علائم شایع عفونت لثه، بوی بد و مداوم دهان است. این بو ناشی از فعالیت باکتری هایی است که در پاکت های ایجاد شده بین لثه و دندان تجمع کرده و ترکیبات گوگردی بد بو تولید میکنند.
آیا استفاده از دهانشویه به تنهایی برای درمان عفونت لثه کافی است؟
خیر. دهانشویه های ضد عفونی کننده میتوانند به عنوان یک ابزار کمکی برای کاهش باکتری ها مفید باشند، اما هرگز جایگزین حذف فیزیکی پلاک از طریق مسواک زدن و نخ دندان کشیدن نمیشوند. درمان اصلی عفونت لثه نیازمند جرم گیری حرفه ای و گاهی درمان های پیشرفته تر مانند ارتودنسی لینگوال برای اصلاح ناهنجاری های دندانی است.
منابع:











