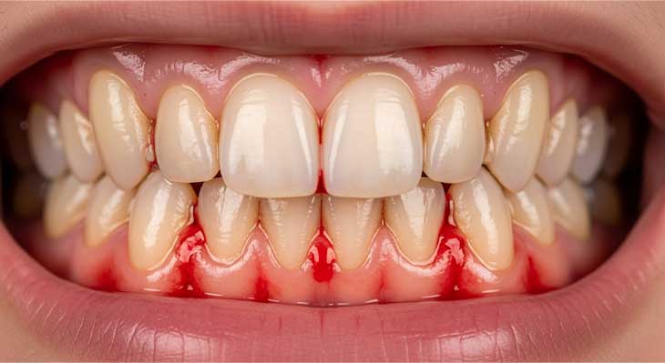
خونریزی لثه که بسیاری از افراد حداقل یک بار آن را هنگام مسواک زدن یا استفاده از نخ دندان تجربه کردند، وضعیتی است که در آن بافت نرم و نگهدارنده دندان ها دچار التهاب و آسیب می شود. این عارضه فراتر از یک مشکل ساده، یک علامت هشدار از سوی بدن است که نشان می دهد لثه های شما در وضعیت سالمی قرار ندارند.
تشخیص علت اصلی و درمان به موقع آن برای جلوگیری از پیشرفت به سمت بیماری های شدیدتر لثه و از دست دادن دندان ها، امری حیاتی است که باید توسط یک متخصص مجرب مانند دکتر مژگان آزادخواه بهترین دندانپزشک در تهران انجام شود. در این مقاله به بررسی جامع دلایل، روش های پیشگیری و جدیدترین متدهای درمانی برای دستیابی به لثه هایی سالم و لبخندی زیبا می پردازیم.
جهت ارتباط گیری با دکتر آزادخواه با شماره 02188605541 تماس بگیرید.
تلفن تماس مطب دکتر آزادخواه: 02188616310 – 02188605541
به مشاوره نیاز دارید؟
فرم مشاوره و رزرو وقت
خونریزی لثه چیست و چرا اتفاق می افتد؟
خونریزی لثه می تواند نشانه ای از ابتلا به بیماری لثه و یا انواع دیگری از بیماری ها باشد. همچنین می تواند نشانه یک بیماری جدی پزشکی باشد. البته ممکن است دلیلی برای نگرانی وجود نداشته باشد.
خونریزی لثه وضعیتی است که در آن بافت لثه به دلیل التهاب، به قدری حساس و پرخون می شود که با کوچکترین تحریک، مانند مسواک زدن یا حتی خوردن غذاهای کمی سفت، دچار خونریزی می شود. علت اصلی این التهاب، تجمع لایه ای چسبناک و بی رنگ از باکتری ها به نام پلاک در خط لثه است.
این باکتری ها سمومی تولید می کنند که باعث تحریک بافت لثه و پاسخ التهابی بدن می شود. اگر این پلاک به طور روزانه با مسواک و نخ دندان پاک نشود، می تواند به مرور زمان سفت شده و به جرم (تارتار) تبدیل شود که دیگر با مسواک زدن پاک نمیشود و به تشدید التهاب و خونریزی منجر می گردد.
لینک مفید: نخ دندان کشیدن
ژنژیویت: اولین مرحله بیماری لثه و علت اصلی خونریزی
ژنژیویت یا التهاب لثه، به معنای واقعی کلمه اولین خط دفاعی بدن در برابر تهاجم باکتریایی در دهان است. این وضعیت زمانی رخ می دهد که پلاک های باکتریایی در خط لثه تجمع یافته و سموم آن ها باعث تحریک و التهاب بافت لثه می شود. لثه های سالم، صورتی رنگ، سفت و بدون خونریزی هستند.
اما در حالت ژنژیویت، لثه ها قرمز، متورم و حساس می شوند و به راحتی هنگام مسواک زدن دچار خونریزی می گردند. اگر ژنژیویت در این مرحله اولیه با رعایت بهداشت و مراجعه به دندانپزشک درمان نشود، می تواند پیشرفت کرده و به مرحله غیرقابل برگشت پریودنتیت تبدیل شود که یک بیماری لثه جدی تر است.
لینک مفید: لیفت لثه قبل از کامپوزیت
آیا خونریزی لثه می تواند نشانه بیماری پریودنتیت باشد؟
بله، خونریزی مداوم لثه یکی از علائم کلیدی پریودنتیت است. پریودنتیت مرحله پیشرفته تر بیماری لثه است که در آن، التهاب از بافت لثه فراتر رفته و به استخوان و الیاف نگهدارنده دندان سرایت می کند. در این مرحله، بدن در پاسخ به عفونت مزمن، شروع به تخریب استخوان فک می کند.
این فرآیند باعث ایجاد فضا هایی به نام “پاکت” بین لثه و دندان می شود که محل تجمع بیشتر باکتری ها و تشدید بیماری می گردد. پریودنتیت علاوه بر خونریزی، با علائمی مانند بوی بد دهان، تحلیل لثه و لقی دندان ها همراه است. بیماری پریودنتال علت اصلی از دست دادن دندان در بزرگسالان است.
علائم خونریزی لثه چیست؟
لثه های سالم سفت و صورتی کم رنگ هستند. آنها محکم در اطراف دندان قرار می گیرند. علائم التهاب لثه عبارتند از:
- لثه های نرم.
- بوی بد دهان.
- لثه های متورم یا پف کرده.
- لثه های قرمز روشن یا قرمز تیره.
- لثه هایی که با مسواک یا نخ دندان خونریزی می کنند.
مقاله مرتبط: خونریزی دندان
عفونت دندان و عفونت و خونریزی لثه چه تفاوتی با هم دارند؟
عفونت دندان و عفونت لثه هر دو از مسائل بهداشت دهان و دندان هستند که می توانند باعث ناراحتی قابل توجه و عوارض بالقوه شوند. با این حال، آنها از نظر ساختارهای آسیب دیده و علائم متفاوت هستند. عفونت های دندان معمولاً از عمق دندان شما منشأ می گیرند و اغلب در اثر حفره های درمان نشده ایجاد می شوند. آنها با دندان درد مداوم، حساسیت به دمای سرد و گرم و تورم موضعی مشخص می شوند.
از سوی دیگر، عفونت های لثه در درجه اول بر بافت های نرم اطراف دندان شما تأثیر می گذارد. آنها معمولاً به دلیل بیماری لثه، بهداشت نامناسب دهان یا آسیب به لثه ایجاد می شوند. علائم عفونت لثه عبارتند از: لثه های متورم، حساس، خونریزی هنگام مسواک زدن یا نخ دندان کشیدن و بوی بد دهان مداوم. در حالیکه هر دو نوع عفونت به مراقبت دندانپزشکی حرفه ای نیاز دارند، شناخت علائم خاص می تواند به شناسایی منبع مشکل و دریافت درمان مناسب کمک کند.
مطلع شوید: مراقبت های بعد از جراحی لثه
علل خونریزی لثه چه هستند؟
در ادامه برخی موارد که باعث خونریزی لثه می شوند را آوردیم.
- ابتلا به ورم لثه، بیماری که باعث التهاب لثه می شود.
- خیلی محکم مسواک می زنید یا مسواک شما به اندازه کافی نرم نیست.
- به تازگی روال نخ دندان کشیدن را شروع کردید و لثه های شما هنوز به آن عادت نکردند.
- از داروهای خاصی مانند رقیق کننده های خون استفاده می کنید.
- به دلیل باردار بودن لثه ملتهب دارید (لثه بارداری).
- پروتز هایی داشته باشید که به خوبی روی هم قرار نگیرند.
- ترمیم های دندانی معیوب داشته باشید.
لینک مفید: هزینه لمینت دندان در تهران
شایع ترین دلایل خونریزی لثه کدامند؟
-
ژنژویت
خونریزی لثه نشانه التهاب لثه شماست. این یک نوع شایع و خفیف بیماری لثه است و به دلیل تجمع پلاک در خط لثه شما ایجاد می شود. اگر التهاب لثه دارید، ممکن است لثه های شما تحریک، قرمز و متورم شده باشد و در نتیجه هنگام مسواک زدن ممکن است خونریزی کنند. شما می توانید با مراقبت مناسب از دندان های خود از شر این مشکل خلاص شوید. دندان های خود را دو بار در روز مسواک بزنید، هر روز از نخ دندان استفاده کنید، هر روز با دهانشویه آنتی باکتریال بشویید و مرتب به دندانپزشک متخصص خود مراجعه کنید.
-
پریودنتیت
اگر از التهاب لثه خود مراقبت نکنید، می تواند منجر به بیماری پریودنتال یا پریودنتیت شود، یک بیماری طولانی مدت لثه که به بافت و استخوانی که از دندان های شما حمایت می کند آسیب می رساند. اگر پریودنتیت دارید، ممکن است لثه های شما ملتهب و عفونی شده و از ریشه دندان هایتان دور شوند. وقتی لثه های شما به راحتی خونریزی می کنند، می تواند نشانه بیماری پریودنتال باشد. دندان های شما ممکن است لق شوند یا از هم جدا شوند. همچنین ممکن است بوی بد دهان، طعم بد در دهان، تغییر در نحوه قرارگیری دندان هایتان هنگام گاز گرفتن و لثه های قرمز، متورم و حساس داشته باشید.
-
دیابت
خونریزی یا تورم لثه ها می تواند علامت هشداردهنده دیابت نوع 1 یا نوع 2 باشد. هنگامی که به این بیماری مبتلا هستید، دهان شما در مبارزه با میکروب ها آنقدر قوی نیست، بنابراین احتمال ابتلا به عفونت هایی مانند بیماری لثه بیشتر است. سطح بالای قند خون که همراه با دیابت است، بهبودی را برای بدن شما دشوارتر می کند، که می تواند بیماری لثه را بدتر کند.
-
سرطان خون
خونریزی لثه می تواند نشانه نوعی سرطان بنام سرطان خون باشد. پلاکت های خون شما به بدن شما کمک می کند خونریزی را متوقف کند. اگر لوسمی دارید، تعداد پلاکت شما کم است. این امر توقف خونریزی در قسمت های مختلف بدن از جمله لثه را برای بدن شما سخت تر می کند.
-
ترومبوسیتوپنی
اگر هنگام مسواک زدن لثه هایتان خونریزی کرد و به خودی خود متوقف نشد، ممکن است لثه شما بیش از حد حساس باشد یا ممکن است ترومبوسیتوپنی داشته باشید. اگر این عارضه را دارید، ممکن است بدن شما پلاکت کافی برای تشکیل لخته خون نداشته باشد. این می تواند منجر به خونریزی بیش از حد در قسمت های مختلف بدن شما از جمله لثه شود.
-
هموفیلی یا بیماری فون ویلبراند
اگر هنگام بریدگی کوچک یا انجام کارهای دندانپزشکی خونریزی لثه یا خونریزی شدید دارید، ممکن است نشانه اختلالی مانند هموفیلی یا بیماری فون ویلبراند باشد. با این شرایط، خون شما به درستی لخته نمیشود، بنابراین ممکن است خونریزی لثه داشته باشید.
-
کمبود ویتامین C
این ویتامین به رشد و ترمیم بافت های شما کمک می کند، زخم ها را التیام می بخشد و استخوان ها و دندان های شما را تقویت می کند. اگر بدن شما ویتامین C کافی نداشته باشد، ممکن است احساس ضعف و تحریک پذیری کنید. با گذشت زمان، لثه ها شما همچنین ممکن است دچار تورم و خونریزی شوند.
لینک مفید: مراقبتهای بعد از جراحی لثه
درمان خونریزی لثه چیست؟
برای جلوگیری از خونریزی لثه و جلوگیری از بازگشت مجدد خونریزی، روش های زیر را امتحان کنید.
-
استفاده از گاز
مانند خونریزی در هر جای دیگر بدن، افراد می توانند با نگه داشتن یک گاز تمیز و مرطوب روی ناحیه آسیب دیده، به توقف خونریزی کمک کنند. به آرامی گاز را در جای خود فشار دهید تا جریان خون متوقف شود. افرادی که سیستم ایمنی ضعیفی دارند یا بیماری های پزشکی دیگری دارند ممکن است متوجه شوند که مدت زیادی طول می کشد تا خونریزی متوقف شود. در مورد بهترین راه برای توقف جریان خون با دندانپزشک صحبت کنید.
-
کمپرس خنک با استفاده از یخ
یک کمپرس خنک، یک کیسه یخ کوچک یا یک تکه یخ را در برابر لثه های متورم و خونریزی دهنده نگه دارید تا به تسکین آن ها کمک کنید. کیسه های یخ مخصوصاً برای تسکین آسیب های جزئی دهان که باعث تورم می شوند، مانند بریدگی و خراش، مفید هستند. آنها همچنین می توانند به کاهش درد و تورم ناشی از التهاب لثه کمک کنند. هر 10 دقیقه یک بار از یخ استفاده کنید و 10 دقیقه استراحت کنید. اگر خونریزی متوقف نشد، بهتر است تا با پزشک تماس بگیرید.
-
استفاده از دهانشویه
دهانشویه های آنتی باکتریال هم می توانند خونریزی لثه را درمان کرده و هم از آن جلوگیری کنند. آنها باکتری ها را می کشند و التهاب را برای تسکین لثه های زخم، متورم و خونریزی کاهش می دهند. دهانشویه همچنین می تواند التهاب لثه را که یکی از علل شایع خونریزی لثه است، درمان و از آن پیشگیری کند. ترکیبات فعال رایج در دهانشویه ها عبارتند از: کلرو هگزیدین و آب اکسیژنه. برای درمان خونریزی لثه در صورت بروز، دهانشویه را در دسترس داشته باشید. شما می توانید دهانشویه را از داروخانه ها خریداری کنند.
-
با استفاده از آب نمک گرم
شستشوی دهان با آب نمک می تواند به کاهش باکتری ها و تسریع زمان بهبودی کمک کند. با توجه به گزارش های انجمن دندانپزشکی آمریکا (ADA)، یک فرد می تواند با افزودن نصف قاشق چای خوری نمک به مقدار مناسب آب گرم، دهان خود را با آب نمک شستشو دهد. آب نمک را در دهان بچرخانید تا تمام دهان پاک شود و سپس مایع را بیرون بریزید. این کار را چندین بار در روز یا طبق دستور دندانپزشک خود تکرار کنید.
لینک مفید: هزینه کامپوزیت دندان
تحلیل لثه و ارتباط آن با خونریزی مزمن
تحلیل لثه وضعیتی است که در آن لبه لثه از روی دندان عقب نشینی کرده و سطح ریشه را نمایان می کند. این عارضه می تواند ناشی از عوامل مختلفی مانند مسواک زدن خشن، دندان قروچه، عوامل ژنتیکی و از همه مهم تر، بیماری پریودنتیت باشد.
التهاب مزمن ناشی از پریودنتیت باعث تخریب بافت لثه و استخوان زیرین آن شده و منجر به عقب نشینی لثه می گردد. لثه های تحلیل رفته اغلب حساس تر بوده و بیشتر مستعد خونریزی هستند. تحلیل لثه علاوه بر مشکلات زیبایی و حساسیت دندانی، نشانه ای از یک بیماری فعال است که نیاز به درمان فوری دارد.
بیشتر بدانیم: مراقبتهای پس از درمان ریشه
نقش پلاک و جرم دندانی در ایجاد خونریزی لثه
پلاک و جرم، دو عامل اصلی و جدایی ناپذیر در فرآیند بیماری های لثه هستند. پلاک، لایه ای نرم و چسبناک از باکتری ها است که به طور مداوم روی دندان ها تشکیل می شود. اگر این لایه ظرف ۲۴ تا ۴۸ ساعت پاک نشود، مواد معدنی موجود در بزاق دهان روی آن رسوب کرده و آن را به یک لایه سخت به نام جرم یا تارتار (Calculus) تبدیل می کند.
جرم سطحی زبر و ناهموار دارد که محل مناسبی برای تجمع بیشتر پلاک است. برخلاف پلاک، جرم با مسواک زدن پاک نمیشود و برای برداشتن آن نیاز به ابزارهای تخصصی دندانپزشکی است. پلاک دندان منبع اصلی سمومی است که باعث التهاب و خونریزی لثه می شوند.
آشنا شوید: مراقبت های بعد از کشیدن دندان
چگونه از خونریزی لثه پیشگیری کنیم؟
پیشگیری از خونریزی لثه بسیار ساده تر و کم هزینه تر از درمان آن است و بر پایه رعایت اصول بهداشت دهان و دندان استوار است.
- مسواک زدن صحیح: حداقل دو بار در روز و هر بار به مدت دو دقیقه با یک مسواک نرم و خمیر دندان حاوی فلوراید مسواک بزنید.
- استفاده روزانه از نخ دندان: نخ دندان تنها راه برای پاک کردن پلاک از بین دندان ها و زیر خط لثه است، جایی که مسواک به آن دسترسی ندارد.
- رژیم غذایی متعادل: مصرف مواد قندی را محدود کرده و از یک رژیم غذایی غنی از ویتامین ها، به خصوص ویتامین C و K استفاده کنید.
- مراجعات منظم به دندانپزشک: برای معاینات و جرم گیری دندان دوره ای (معمولاً هر شش ماه یک بار) به دندانپزشک مراجعه کنید.
جدول مقایسه مراحل بیماری لثه
بیماری لثه یک فرآیند پیشرونده است. درک تفاوت مراحل مختلف آن به شما کمک می کند تا اهمیت درمان به موقع را بهتر درک کنید. هر مرحله علائم و روش های درمانی خاص خود را دارد.
|
ویژگی |
لثه سالم |
ژنژیویت (Gingivitis) |
پریودنتیت (Periodontitis) |
|
رنگ لثه |
صورتی روشن (مرجانی) |
قرمز |
قرمز تیره یا بنفش |
|
وضعیت لثه |
سفت و چسبیده به دندان |
متورم و نرم |
تحلیل رفته، ایجاد پاکت |
|
خونریزی |
ندارد |
با تحریک (مسواک زدن) |
اغلب خود به خودی |
|
درگیری استخوان |
ندارد |
ندارد |
تحلیل استخوان مشهود است |
|
قابلیت برگشت |
– |
کاملاً قابل برگشت |
غیرقابل برگشت (فقط قابل کنترل) |
آیا خونریزی لثه می تواند به سلامت قلب آسیب برساند؟
تحقیقات علمی گسترده ای در سال های اخیر ارتباط قوی بین بیماری های لثه و بیماری های قلبی عروقی را نشان دادند. اگرچه این ارتباط علت و معلولی قطعی نیست، اما یک نظریه قوی وجود دارد که باکتری ها و التهاب مزمن ناشی از پریودنتیت می توانند وارد جریان خون شوند.
این باکتری ها و مواد التهابی می توانند به دیواره رگ های خونی چسبیده و در فرآیند تشکیل پلاک های آترواسکلروتیک (تصلب شرایین) که عامل اصلی حملات قلبی و سکته مغزی است، نقش داشته باشند. بنابراین، سلامت دهان و سلامت قلب به طور تنگاتنگ با یکدیگر در ارتباط هستند و حفظ سلامت لثه می تواند به سلامت کلی بدن کمک کند.
خونریزی لثه در کودکان: چه زمانی باید نگران شد؟
خونریزی لثه در کودکان نیز همانند بزرگسالان، اغلب نشانه ای از عدم رعایت بهداشت کافی و تجمع پلاک است. در برخی موارد، خونریزی می تواند دلایل دیگری داشته باشد. کمبود برخی ویتامین ها، خشکی دهان ناشی از تنفس دهانی یا مصرف برخی داروها نیز می تواند باعث این مشکل شود.
اگر خونریزی لثه کودک شما با رعایت بهداشت بهبود نیافت یا با علائم دیگری مانند تب یا کبودی همراه بود، حتماً به دندانپزشک اطفال مراجعه کنید. تورم لثه در کودکان همراه با خونریزی باید جدی گرفته شود.
خونریزی لثه در دوران بارداری: علل و راهکارها
بسیاری از زنان در دوران بارداری، حتی با وجود رعایت بهداشت، دچار تورم و خونریزی لثه می شوند. این وضعیت که به آن “ژنژیویت بارداری” گفته می شود، به دلیل تغییرات شدید هورمونی (به خصوص افزایش پروژسترون) رخ می دهد. این هورمون ها باعث افزایش جریان خون به بافت لثه شده و واکنش بدن به پلاک های باکتریایی را تشدید می کنند.
لثه ها در این دوران بسیار حساس تر می شوند. بهترین راهکار برای مدیریت این وضعیت، رعایت وسواس گونه بهداشت دهان و دندان و مراجعه منظم به دندانپزشک برای جرم گیری است. کنترل خونریزی لثه در دوران بارداری برای سلامت مادر و جنین اهمیت دارد.
روش های درمانی موثر برای خونریزی لثه
درمان خونریزی لثه بستگی به علت و شدت آن دارد.
- جرم گیری و برساژ حرفه ای: این اولین و مهم ترین قدم درمانی برای ژنژیویت است. دندانپزشک با استفاده از ابزارهای اولتراسونیک و دستی، تمام جرم و پلاک را از سطوح دندان و زیر لثه پاک می کند.
- روت پلنینگ (Root Planing): در موارد پریودنتیت، علاوه بر جرم گیری، سطح ریشه دندان نیز صاف و صیقلی می شود تا از چسبیدن مجدد باکتری ها جلوگیری شود.
- تجویز دهانشویه های دارویی: در برخی موارد، دندانپزشک ممکن است دهانشویه های ضد میکروبی مانند کلر هگزیدین را برای یک دوره کوتاه مدت تجویز کند.
- جراحی لثه: در موارد پیشرفته پریودنتیت، ممکن است برای دسترسی به ریشه ها و حذف پاکت های عمیق، نیاز به جراحی لثه باشد. مراجعه به بهترین کلینیک دندانپزشکی تهران برای دریافت درمان مناسب ضروری است.
روش های نوین در درمان بیماری های لثه
دندانپزشکی مدرن روش های پیشرفته ای را برای درمان بیماری های لثه ارائه می دهد که اغلب کم تهاجمی تر و موثرتر از روش های قدیمی هستند. یکی از این روش ها، استفاده از لیزر است.
لیزر می تواند برای برداشتن بافت لثه ملتهب و عفونی از داخل پاکت های پریودنتال و همچنین ضدعفونی کردن ناحیه استفاده شود. لیفت لثه با لیزر برای اصلاح طرح لبخند یا جراحی لثه با لیزر برای درمان پریودنتیت، مزایایی مانند خونریزی کمتر، درد پس از عمل خفیف تر و بهبودی سریع تر را به همراه دارد.
درمان های پیشرفته برای موارد شدید بیماری لثه
- جراحی فلپ لثه: در این روش، لثه به آرامی کنار زده می شود تا جراح بتواند به طور مستقیم به سطح ریشه و استخوان دسترسی پیدا کرده و آن ها را به طور کامل تمیز کند.
- پیوند بافت نرم: برای پوشاندن ریشه های نمایان شده در اثر تحلیل لثه، می توان از بافت سقف دهان یا منابع دیگر برای پیوند به ناحیه تحلیل رفته استفاده کرد.
- پیوند استخوان: در صورت تخریب شدید استخوان، می توان از مواد پیوند استخوان برای بازسازی و تقویت استخوان نگهدارنده دندان استفاده کرد. این درمان ها در حوزه دندانپزشکی ترمیمی و زیبایی قرار می گیرند.
آیا کمبود ویتامین ها می تواند باعث خونریزی لثه شود؟
بله، کمبود برخی ویتامین های ضروری می تواند به طور مستقیم بر سلامت لثه ها تاثیر بگذارد.
- ویتامین C: این ویتامین برای تولید کلاژن، پروتئین اصلی بافت همبند لثه، حیاتی است. کمبود شدید ویتامین C می تواند منجر به بیماری اسکوروی شود که یکی از علائم اصلی آن، تورم و خونریزی شدید لثه است.
- ویتامین K: این ویتامین نقش کلیدی در فرآیند انعقاد خون دارد. کمبود آن می تواند باعث شود که خونریزی های کوچک (مانند خونریزی لثه) به راحتی متوقف نشوند.
ویتامین D سلاح شما در مبارزه با بیماری لثه نیز محسوب می شود، زیرا به جذب کلسیم و حفظ سلامت استخوان فک کمک کرده و خواص ضد التهابی دارد.
ارتباط سلامت عمومی بدن با خونریزی لثه
دهان شما پنجره ای به سلامت عمومی بدنتان است. بسیاری از بیماری های سیستمیک می توانند اولین علائم خود را در دهان نشان دهند. دیابت کنترل نشده، با تضعیف سیستم ایمنی و افزایش قند در بزاق، خطر ابتلا به بیماری های لثه را به شدت افزایش می دهد.
بیماری های خونی مانند لوسمی نیز می توانند باعث خونریزی شدید و غیرقابل توضیح لثه شوند. به همین دلیل است که دندانپزشک شما در مورد تاریخچه پزشکی تان سوال می پرسد. ارتباط بین سلامت دهان و سلامت بدن یک ارتباط دو طرفه است و مراقبت از یکی به سلامت دیگری کمک می کند.
چگونه مسواک و نخ دندان مناسب را انتخاب کنیم؟
انتخاب ابزار مناسب، نیمی از مسیر موفقیت در رعایت بهداشت است.
- مسواک: همیشه از مسواک با برس نرم (Soft) استفاده کنید. مسواک های زبر (Hard) به مینای دندان و بافت لثه آسیب می رسانند. سر مسواک باید به اندازه ای کوچک باشد که به راحتی به تمام نواحی دهان، به خصوص دندان های عقبی، دسترسی داشته باشد.
- نخ دندان: انواع مختلفی از نخ دندان (موم دار، بدون موم، نواری) وجود دارد. انتخاب نوع آن به سلیقه شخصی و فاصله بین دندان های شما بستگی دارد. مهم ترین چیز، استفاده روزانه و مداوم از آن است. این دو، ابزار اصلی برای جلوگیری از پوسیدگی دندان و بیماری های لثه هستند.
نقش دهانشویه ها در کنترل خونریزی لثه
دهانشویه ها می توانند به عنوان یک مکمل برای مسواک و نخ دندان مفید باشند، اما هرگز جایگزین آن ها نمیشوند. دهانشویه های بهداشتی (Cosmetic) عمدتاً برای خوشبو کردن دهان به کار می روند.
اما دهانشویه های درمانی (Therapeutic) حاوی مواد فعالی هستند که می توانند به کاهش پلاک، جلوگیری از ژنژیویت و کنترل بوی بد دهان کمک کنند. دهانشویه های حاوی کلر هگزیدین بسیار موثر هستند اما باید فقط برای دوره کوتاه و تحت نظر دندانپزشک استفاده شوند، زیرا می توانند باعث ایجاد لکه روی دندان ها شوند.
اباتمنت دندان نقش واسطه ای حیاتی بین پایه ایمپلنت کاشته شده در فک و روکش دندان مصنوعی ایفا می کند و پایداری و زیبایی نهایی لبخند شما را تضمین می کند.
مراجعه منظم به دندانپزشک: کلید طلایی سلامت لثه
حتی اگر به بهترین شکل ممکن بهداشت دهان و دندان را رعایت کنید، باز هم برخی نواحی از دسترس شما دور می مانند و ممکن است پلاک در آنجا به جرم تبدیل شود. به همین دلیل، مراجعات منظم (معمولاً هر ۶ ماه یک بار) به دندانپزشک برای معاینه و جرم گیری حرفه ای، امری ضروری است. این مراجعات، بهترین سرمایه گذاری برای حفظ لبخند و سلامت شما در طولانی مدت است. بهترین دندانپزشک شمال تهران می تواند برنامه منظمی برای چکاپ های شما تنظیم کند.
خدمات دندانپزشکی با دکتر آزادخواه
یک لبخند زیبا بر پایه لثه های سالم استوار است. در کلینیک دکتر آزادخواه، مجموعه ای کامل از خدمات تشخیصی، پیشگیرانه و درمانی برای حفظ و بازگرداندن سلامت لثه ها و زیبایی لبخند شما ارائه می گردد.
- جرم گیری دندان: پاکسازی حرفه ای و کامل دندان ها برای حذف جرم و پلاک و درمان ژنژیویت.
- جراحی لثه با لیزر: روشی نوین برای درمان بیماری های لثه با حداقل درد و بهبودی سریع تر.
- اصلاح طرح لبخند: ترکیبی از روش های مختلف برای ایجاد هارمونی بین دندان ها، لثه و لب ها.
- درمان ریشه دندان: حفظ دندان های آسیب دیده و جلوگیری از کشیدن آن ها.
- روکش دندان: بازسازی تاج دندان های به شدت تخریب شده با روکش های مقاوم و زیبا.
به مشاوره نیاز دارید؟
فرم مشاوره و رزرو وقت
نتیجه گیری
درمان های حرفه ای مانند جرم گیری می توانند این وضعیت را در مراحل اولیه به طور کامل معکوس کنند. به یاد داشته باشید که لثه های سالم، پایه و اساس یک لبخند زیبا و سلامت کلی بدن شما هستند و سرمایه گذاری برای حفظ آن ها، اقدامی حیاتی است. مراجعه به یک متخصص متعهد مانند دکتر مژگان آزادخواه می تواند شما را در مسیر دستیابی و حفظ سلامت کامل لثه ها یاری کند.
سوالات متداول
آیا خونریزی لثه می تواند باعث بوی بد دهان شود؟
بله، ارتباط مستقیمی بین این دو وجود دارد. باکتری هایی که باعث التهاب و خونریزی لثه می شوند، ترکیبات گوگردی فراری تولید می کنند که عامل اصلی بوی بد دهان (هالیتوزیس) هستند. همچنین، خون باقی مانده در دهان نیز می تواند بوی نامطبوعی ایجاد کند. بنابراین، درمان بیماری لثه اغلب به طور قابل توجهی به بهبود بوی بد دهان آن کمک می کند.
آیا استفاده از مسواک برقی برای لثه های حساس بهتر است؟
بله، در بسیاری از موارد مسواک های برقی می توانند گزینه بهتری باشند. اکثر مسواک های برقی مدرن دارای سنسور فشار هستند که در صورت وارد کردن فشار بیش از حد، به شما هشدار می دهند. این ویژگی به جلوگیری از آسیب به لثه و تحلیل آن کمک می کند. همچنین، حرکات نوسانی و چرخشی آن ها اغلب در پاک کردن پلاک موثرتر عمل می کند. با روش صحیح مسواک زدن آشنا شوید.
آیا استرس می تواند باعث خونریزی لثه شود؟
استرس به طور مستقیم باعث خونریزی لثه نمیشود، اما می تواند به طور غیرمستقیم آن را تشدید کند. استرس مزمن با تضعیف سیستم ایمنی بدن، توانایی آن را برای مبارزه با عفونت های باکتریایی (از جمله عفونت لثه) کاهش می دهد. همچنین، افراد تحت استرس ممکن است به بهداشت دهان و دندان خود کمتر اهمیت دهند یا دچار دندان قروچه شوند که هر دو این موارد به سلامت لثه آسیب می رساند.
آیا سفید شدن لثه ها همراه با خونریزی خطرناک است؟
علت سفید شدن لثه چیست؟ این وضعیت می تواند دلایل مختلفی داشته باشد، از یک ضایعه ساده مانند برفک دهان گرفته تا شرایط جدی تری مانند لکوپلاکیا که یک ضایعه پیش سرطانی است. اگر سفید شدن لثه با درد، زخم یا خونریزی همراه است و پس از یک تا دو هفته بهبود نمییابد، مراجعه فوری به دندانپزشک برای تشخیص دقیق علت آن ضروری است.
آیا خونریزی لثه ارثی است؟
استعداد ابتلا به بیماری های لثه می تواند تا حدی زمینه ژنتیکی داشته باشد. برخی افراد ممکن است به طور ارثی پاسخ التهابی شدید تری به پلاک های باکتریایی نشان دهند. با این حال، ژنتیک تنها یک عامل خطر است و عامل اصلی همچنان تجمع پلاک است. حتی در افرادی که استعداد ژنتیکی دارند، با رعایت بهداشت بی نقص می توان از بروز بیماری لثه جلوگیری کرد.
آیا امکان ترمیم لثه تحلیل رفته وجود دارد؟
بافت لثه پس از تحلیل رفتن، به خودی خود دوباره رشد نمیکند. با این حال، روش های جراحی مانند پیوند بافت نرم (Grafting) وجود دارد که می تواند ریشه های نمایان شده را بپوشاند. این جراحی نه تنها ظاهر زیبایی لثه را بهبود می بخشد، بلکه از حساسیت دندان و تحلیل بیشتر استخوان نیز جلوگیری می کند. مژگان آزاد خواه دندانپزشک منطقه 2 تهران می تواند در این زمینه مشاوره های لازم را ارائه دهد.
آیا جویدن برخی مواد غذایی می تواند به سلامت لثه کمک کند؟
بله، جویدن میوه ها و سبزیجات سفت و فیبر دار مانند سیب، هویج و کرفس می تواند مانند یک مسواک طبیعی عمل کرده و به تمیز شدن سطح دندان ها و تحریک لثه ها کمک کند. این کار جریان بزاق را نیز افزایش می دهد که به شستشوی طبیعی دهان و خنثی کردن اسید ها کمک می کند.
منابع:










