مشاوره آنلاین و رزرو وقت

برای انتخاب بهترین دکتر کامپوزیت دندان در تهران چه معیارهایی برای شما اهمیت دارد؟ چطور می شود  بهترین متخصص کامپوزیت دندان در تهران را پیدا کرد؟ چه ویژگی‌ هایی باید در یک متخصص کامپوزیت دندان مورد توجه قرار گیرد؟ مزایای انتخاب بهترین دکتر کامپوزیت دندان در تهران چیست؟ اگر به دنبال یافتن بهترین دکتر کامپوزیت دندان در تهران هستید و قصد انجام عمل کامپوزیت را دارید تا انتهای این مقاله با ما همراه باشید و از نکات مفید آن استفاده کنید. ما سعی می کنیم تمام اطلاعات مورد نیاز را در خصوص انتخاب بهترین متخصص کامپوزیت دندان در تهران را به شما ارائه دهیم.

تماس بگیرید: مشاوره کامپوزیت دندان

مقاله تفاوت لمینت با کامپوزیت دندان را نیز مطالعه کنید.

لینک مفید: هزینه کامپوزیت دندان

کامپوزیت دندان چیست؟

کامپوزیت دندان یکی از روشهای غیر جراحی برای بهبود ظاهر دندان‌ها هستند. این روش برای پوشاندن عیوب و نواقص دندان‌ها مثل شکستگی، پوسیدگی دندان یا رنگ نامناسب دندان ها استفاده می‌شوند. کامپوزیت دندان نوعی ماده ترمیم کننده دندان است که برای بازیابی عملکرد و ظاهر دندان ها استفاده می شود. از مخلوطی از ذرات شیشه، سرامیک یا پلاستیک ساخته شده است که در یک ماتریس رزین جاسازی شده اند. سپس کامپوزیت با استفاده از یک چسب دندانی به دندان چسبانده می شود.

لینک مفید: سن مناسب برای کامپوزیت دندان | بهترین برند های کامپوزیت دندان

با کامپوزیت IPS آشنا شوید.

طرف قراردادبا:
طرف قراردادبا:

به مشاوره نیاز دارید؟

فرم مشاوره و رزرو وقت

ویژگی های متخصص خوب کامپوزیت دندان

به خاطر اینکه کارهای زیبایی همیشه  با ریسک همراه است، باید به دنبال بهترینها باشیم تا از نتیجه کارمطمئن باشیم. برای انتخاب بهترین دکتر کامپوزیت دندان هم داشتن یکسری ویژگیها برای دندانپزشک لازم است. اگر ساکن تهران هستید می توانید برای مشاوره رایگان با دندانپزشک خوب در تهران مراجعه کنید. همچنین با دیدن نمونه کارهای کامپوزیت موجود در سایت دکتر آزادخواه، تصمیم به انجام آن بگیرید.

مقاله مفید: بهترین متخصص لمینت دندان در تهران

اینک مفید: بهترین رنگ لمینت دندان

  • تخصص و تجربه دندانپزشکی زیبایی

هر چقدر دندانپزشکی که انتخاب می کنید با تجربه باشد، با خیال راح تری می توانید کامپوزیت خود را نزد او انجام دهید. چون وقتی برای افراد زیادی این کار را انجام داده باشد طبیعتا همان اندازه هم تجربه دارد.

آشنا شوید: کامپوزیت دندان به روش لیرینگ

مقاله مفید: کامپوزیت ونیر دندان

بلاگ مفید: بهترین رنگ کامپوزیت دندان

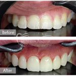
  • نمونه کارهای کامپوزیت قبل و بعد

دیدن نمونه کارهای قبل و بعد از کامپوزیت خیلی مهم است. این مورد به شما امکان می دهد تا ببینید دندانپزشک چقدر در کارش متبحر و حرفه ای است. در زیر برخی از نمونه کارهای دکتر مژگان آزادخواه بهترین متخصص کامپوزیت دندان در تهران با بیش از 23 سال سابقه را مشاهده می کنید:

  • بررسی کامنت‌های رضایت‌مندی افراد

صحبت با افرادی که کامپوزیت کرده اند و بررسی کامنتهای افرادی که پزشک مشابهی را برای این کار انتخاب کرده اند بسیار مهم است. با خواندن کامنت می توانید از میزان رضایت افراد از دندانپزشک مطلع شوید.

  • استفاده از تکنولوژی به‌ روز

آشنایی با جدیدترین فناوری‌ها و استفاده از مواد با کیفیت بالا از ویژگی‌های اساسی بهترین دکتر کامپوزیت است.  دندانپزشک متخصص در این حوزه باید از مواد ترمیمی پیشرفته استفاده کنند. تکنیک‌های برتر و تجهیزات مدرن نیز به همان اندازه مهم هستند.

  • مدارک حرفه‌ای دندانپزشک

مدرک دندانپزشکی از اهمیت بسیاری برخوردار است، زیرا نشان دهنده آموزش و تخصص دندانپزشک در زمینه درمان و حفظ سلامت دندان‌ها و دهان می‌باشند. انتخاب یک دندانپزشک مجرب و دارای مدرک معتبر می‌تواند باعث اطمینان از بهترین نتیجه برای سلامت و زیبایی دندان‌های شما شود.

  • دقت در جزئیات و تعامل با بیمار

دقت بالا در هنگام انجام  کار کامپوزیت یکی از عوامل مهم در انتخاب بهترین دکتر کامپوزیت در تهران محسوب می‌شود. همچنین ظرفیت هنری، به‌عنوان یک ویژگی برجسته برای پزشک محسوب می‌شود. مهارت هنری متخصص برای ایجاد ترمیم‌های زیبا و طبیعی در کامپوزیت دندان‌ها تأثیرگذار است.

متخصص کامپوزیت باید توانمندی تضمین ترمیم با نتایج دائمی و طولانی‌مدت را داشته باشد. ترمیم کامپوزیتی توسط بهترین دکتر کامپوزیت در تهران باید از استحکام مناسب و طول عمر بلند برخوردار باشد. این ویژگی مهم، باعث اطمینان بیشتر بیماران می‌شود.

مطالعه بیشتر: انواع کامپوزیت دندان

لینک مفید: چرا کامپوزیت دندان زرد می‌ شود؟

مقاله مرتبط: انواع ونیر دندان

متخصص کامپوزیت دندان کیست؟

 باید بدانید که در علم دندانپزشکی هیچ تخصصی دقیقاً با نام متخصص کامپوزیت دندان وجود ندارد؛ با این وجود دندانپزشک متخصص ترمیمی فردی است که چندین سال در این حوزه آموزش دیده و تخصص کسب کرده است. این متخصص تمامی اقدامات ترمیمی و زیبایی دندان را به صورت تخصصی انجام می‌دهد. دندانپزشکان عمومی نیز کامپوزیت دندان را انجام می‌دهند. ولی مطمئناً فردی که علاوه بر دوره دندانپزشکی عمومی، چند سال هم به صورت تخصصی در حوزه ترمیم دندان آموزش دیده است، در الویت انتخاب قرار دارد.  برای ارتباط با بهترین متخصص کامپوزیت دندان در ونک با شماره تلفن ۰۲۱۸۸۶۰۵۵۴۱ تماس بگیرید و از مشاوره رایگان استفاده کنید. برای مشاهده نمونه درمان های بیشتر روی لینک زیر کلیک کنید:

نمونه درمان کامپوزیت دندان

بهترین دندانپزشک کامپوزیت در تهران کیست؟

مراجعه به بهترین دکتر کامپوزیت در تهران امری بسیار حیاتی است. انتخاب یک دندان‌ پزشک ماهر و متخصص در این زمینه نه‌ تنها بر کیفیت نهایی ترمیم تأثیر مهمی دارد بلکه بر طول عمر و استحکام آن نیز مؤثر است. دندانپزشکان ماهر قادرند تا از بهترین مواد و تجهیزات برای انجام کامپوزیت استفاده کنند و با دقت بالا و تجربه کافی، ترمیم‌هایی ایجاد کنند که هم ظاهر طبیعی دندان را حفظ کنند و هم به دندان‌ها استحکام بخشند.

همچنین، تجربه و مهارت دندانپزشک در انجام کارهای کامپوزیت می‌تواند تأثیر زیادی در ایجاد ترمیم‌های مقاوم و دقیق داشته باشد. ازآنجایی‌که هر فرد دندان های منحصربه‌فردی دارد و نیاز به ترمیم‌ها در او شخصی‌ است، دندانپزشک با درک دقیق از نیازهای بیمار و هماهنگی با خواسته‌های زیبایی او، می‌تواند نتیجه‌ای بهتر و مطمئن‌تری ایجاد کند. بنابراین، در انتخاب بهترین دکتر برای کامپوزیت دندان در تهران، اطمینان از تجربه، مهارت و بازخوردهای مثبت از سوی بیماران، از معیارهای اساسی است تا نتیجه نهایی به انتظارات شما نزدیک باشد.

مقالات مفید:  سفید کردن کامپوزیت دندان

مقاله مفید: بهترین دکتر عصب کشی دندان

مطالعه بیشتر: کامپوزیت فلو

بررسی کنید: تعویض کامپوزیت دندان

مشاوره با دکتر آزادخواه دکتر خوب کامپوزیت دندان

یکی از ویژگی‌های خوب دکتر مژگان آزادخواه، ارائه مشاوره رایگان به مراجعین است. این امکان به شما این اجازه را می‌دهد تا با آرامش و بدون هزینه مکمل، نیازهای دندانی خود را با او مطرح کنید و از نکات توجه خاص به درمان و پیشگیری استفاده کنید. دکتر مژگان آزادخواه دندانپزشک خوب در تهران تمامی خدمات دندانپزشکی را از جمله دندانپزشک ترمیمی، جراحی دندان عقل، ایمپلنت دندان، درمان ریشه دندان، ارتودنسی و همچنین جراحی لثه با لیزر با استفاده از متدهای نوین ارائه می‌دهد. قیمت‌های دندانپزشکی اعلام شده نیز با توجه به کیفیت بالا و رقابت پذیر منصفانه در نظر گرفته شده‌اند. اگر به دنبال بهترین دندانپزشک کامپوزیت در تهران، مشاوره رایگان و قیمت مناسب خدمات دندانپزشکی هستید، دکتر مژگان آزادخواه گزینه ایده‌آلی برای مراقبت از سلامت دهان و دندان شما خواهد بود. برای مشاوره با ایشان کافی است با کلینیک تماس بگیرید.

مطلع شوید: سفید کردن کامپوزیت دندان

اطلاعات بیشتر: تفاوت باندینگ و کامپوزیت ونیر

بدانید: آیا کامپوزیت باعث پوسیدگی دندان میشود؟

به مشاوره نیاز دارید؟

فرم مشاوره و رزرو وقت

لینک های مفید: بهترین متخصص ایمپلنت تهران

لطفا به ما امتیاز بدهید...
[کل: 1 میانگین: 5]
فهرست مطالب

به مشاوره نیاز دارید؟

جهت دریافت مشاوره رایگان و تعیین وقت حضوری با ما تماس بگیرید.

مقالات مفید

اشتراک در
اطلاع از
1 دیدگاه
قدیمی‌ترین
تازه‌ترین بیشترین رأی
بازخورد (Feedback) های اینلاین
مشاهده همه دیدگاه ها

واقعا خیلی مهمه انتخاب دکتر خوب کامپوزیت. من چند سال پیش دندونامو پیش ی دکتر بی تجربه کامپوزیت کردم که اکثر دندونام بعد مدتی دچار مشکل شد و مجبور شدم برم پیش دکتر کامپوزیت دیگه که خوب بود و تعریفشو شنیده بودم. مجبور ب برداشتن همشون شدم هم دندونام اسیب دیده بودن هم زمان و هزینم هدر رفت! دکتر آزادخواه هم رو خالم رفته و خیلی راضیه. هم با اخلاقه و هم کار درست.

فرم مشاوره دکتر مژگان آزادخواه

دکتر مژگان آزادخواه