
ارتودنسی یا کامپوزیت؟
ارتودنسی یا کامپوزیت؟ این سوال یکی از رایج ترین دو راهی ها برای افرادی است که به دنبال

ارتودنسی یا کامپوزیت؟ این سوال یکی از رایج ترین دو راهی ها برای افرادی است که به دنبال

بهترین رنگ کامپوزیت دندان موضوعی فراتر از انتخاب سفید ترین گزینه ممکن است. کامپوزیت ونیر یکی از محبوب ترین

طول عمر کامپوزیت دندان یکی از مهم ترین دغدغه های افرادی است که قصد انجام این درمان زیبایی

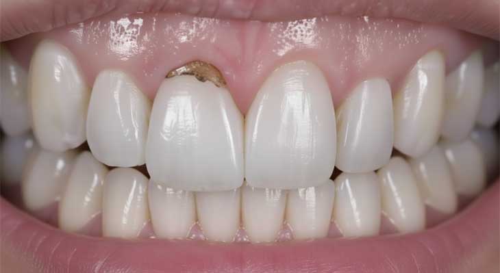
آیا کامپوزیت باعث پوسیدگی دندان میشود؟ این یکی از رایج ترین و مهم ترین سوالاتی است که بیماران

برداشتن کامپوزیت دندان فرآیندی دقیق و حساس است که به دلایل مختلفی مانند فرسودگی، تغییر رنگ یا نارضایتی

تفاوت باندینگ و کامپوزیت ونیر موضوعی است که اغلب برای افرادی که به دنبال بهبود ظاهر لبخند خود

درد کامپوزیت دندان یکی از نگرانی های رایج بیمارانی است که این درمان زیبایی و ترمیمی را انجام

مراقبت های بعد از کامپوزیت دندان شامل تمام دستورالعمل ها و نکاتی است که به شما کمک می

بعد از کامپوزیت دندان چه بخوریم و چه نخوریم؟ این پرسش، یکی از مهم ترین دغدغه های افرادی

تعویض کامپوزیت دندان یک اقدام ضروری و هوشمندانه برای حفظ زیبایی و سلامت دندان هایی است که قبلا
تماس با کلینیک دندانپزشکی
ساعت کاری




فرم مشاوره دکتر مژگان آزادخواه