
ترمیم لمینت دندان
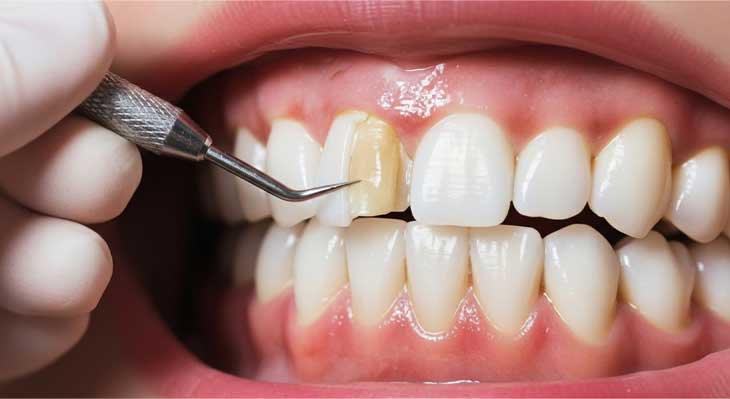
ترمیم لمینت دندان یکی از سوالات و دغدغه های رایج افرادی است که این درمان زیبایی را برای

ترمیم لمینت دندان یکی از سوالات و دغدغه های رایج افرادی است که این درمان زیبایی را برای
تماس با کلینیک دندانپزشکی
ساعت کاری




فرم مشاوره دکتر مژگان آزادخواه