
مقدار تراش دندان برای لمینت
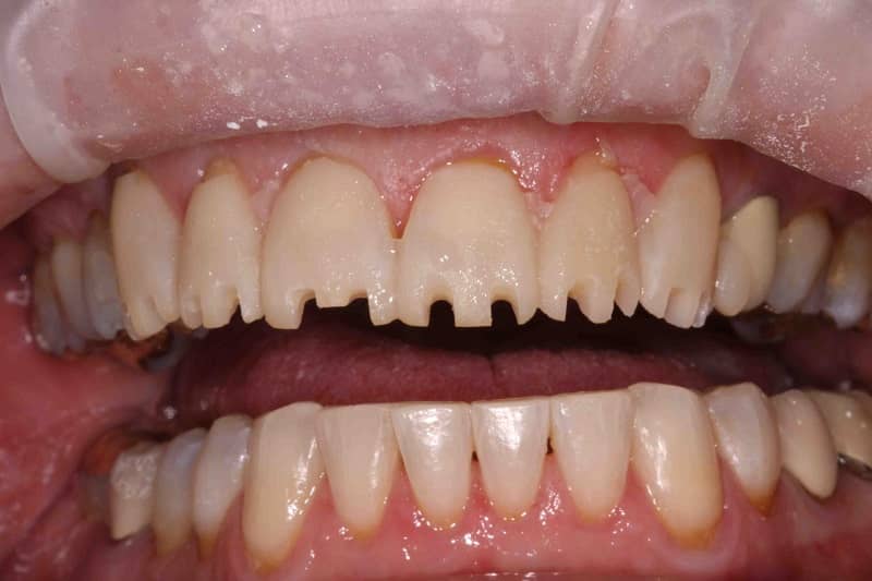
مقدار تراش دندان برای لمینت یکی از مهم ترین و نگران کننده ترین سوالات برای افرادی است که

مقدار تراش دندان برای لمینت یکی از مهم ترین و نگران کننده ترین سوالات برای افرادی است که
تماس با کلینیک دندانپزشکی
ساعت کاری




فرم مشاوره دکتر مژگان آزادخواه