
اسپلینت دندان چیست؟
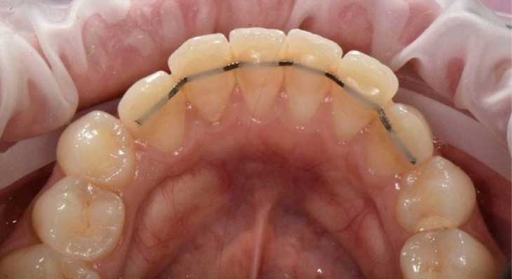
اسپلینت دندان یک روش درمانی کارآمد برای مدیریت دندان هایی است که به دلایل مختلفی مانند بیماری لثه

اسپلینت دندان یک روش درمانی کارآمد برای مدیریت دندان هایی است که به دلایل مختلفی مانند بیماری لثه
تماس با کلینیک دندانپزشکی
ساعت کاری




فرم مشاوره دکتر مژگان آزادخواه