
فلوراید تراپی چیست؟
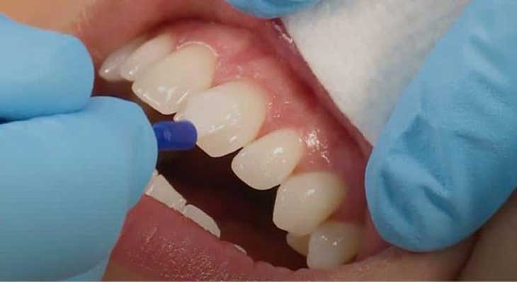
فلوراید تراپی چیست؟ این سوالی است که بسیاری از افراد برای حفظ سلامت دندان های خود و فرزندانشان

فلوراید تراپی چیست؟ این سوالی است که بسیاری از افراد برای حفظ سلامت دندان های خود و فرزندانشان
تماس با کلینیک دندانپزشکی
ساعت کاری




فرم مشاوره دکتر مژگان آزادخواه