مقدار تراش دندان برای لمینت یکی از مهم ترین و نگران کننده ترین سوالات برای افرادی است که قصد انجام این درمان زیبایی را دارند. بسیاری از بیماران تصور می کنند که برای نصب لمینت، باید بخش زیادی از دندان سالم آن ها تراشیده شود. این در حالی است که با پیشرفت تکنولوژی و مواد دندانپزشکی، این تراش به حداقل ممکن رسیده و یک فرآیند بسیار محافظه کارانه است. این مقاله به صورت جامع به بررسی این موضوع می پردازد. با راهنمایی های دندانپزشک خوب در تهران، دکتر مژگان آزادخواه، می توانید با آگاهی کامل برای داشتن لبخندی زیبا قدم بردارید.
خدمات رایگان: مشاوره لمینت دندان
به مشاوره نیاز دارید؟
فرم مشاوره و رزرو وقت
مقدار تراش دندان برای لمینت
یکی از روش های محبوب برای زیباسازی دندان ها، لمینت دندان است. در این روش، یک لایه نازک و مخصوص روی سطح دندان ها قرار می گیرد که باعث بهبود رنگ، اندازه و فرم دندان ها می شود. این تغییر علاوه بر اصلاح طرح لبخند، به تقویت و مقاوم تر شدن دندان ها نیز کمک می کند. با نصب این لایه، هم لبخندی زیباتر خواهید داشت و هم اطمینان بیشتری از استحکام دندان های خود خواهید داشت.
برای آشنایی بیشتر با تفاوت رنگ لمینت دندان A و B و انتخاب بهترین گزینه متناسب با رنگ طبیعی دندان ها، این مقاله را بخوانید.
برای آشنایی با معیارهای انتخاب بهترین رنگ روکش دندان و تأثیر آن در زیبایی لبخند، حتماً مقاله کامل رنگ روکش دندان را مطالعه کنید.
لمینت دندان چیست؟
لمینت دندان یک روش زیبایی و درمانی است که با ایجاد لایه ای یکنواخت روی دندان ها، به بهبود ظاهر آن ها کمک می کند. این روکش که از مواد مقاومی مانند کامپوزیت و سرامیک ساخته شده، برای تحمل فعالیت های روزانه مانند جویدن طراحی شده و به راحتی آسیب نمی بیند. به همین دلیل، پس از انجام لمینت، فرد می تواند بدون نگرانی از لبخند خود لذت ببرد. نکته مهم این است که در اولویت بندی درمان های دندانی، ابتدا نیازهای اساسی مانند عصب کشی دندان باید انجام شوند و لمینت صرفاً به عنوان یک روش تکمیلی و پوششی به کار می رود.
مقاله مفید: انواع رنگ لمینت دندان
مقاله مرتبط: انواع ونیر دندان
چرا برای نصب لمینت باید مینای دندان تراشیده شود؟
لایه بیرونی دندان که به نام مینای دندان شناخته می شود، سخت ترین بخش بدن است و تاج دندان را می پوشاند. حال تصور کنید اگر لمینت بدون تراشیدن مینای دندان نصب شود، دندان ها چقدر برجسته و غیر طبیعی به نظر خواهند رسید. این برجستگی ناخواسته می تواند توجه دیگران را جلب کند و احتمالاً نتیجه ای نباشد که شما به دنبال آن هستید. از آنجا که هدف از لمینت، بهبود ظاهر دندان ها است، در برخی موارد نیاز است مقدار کمی از مینای دندان تراشیده شود تا اتصال محکم و طبیعی تری میان دندان و روکش ایجاد گردد و ظاهر نهایی دندان ها زیباتر به نظر برسد.
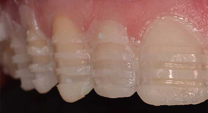
لمینیت سرامیکی دندان یکی از محبوب ترین روش های زیبایی است که با دوام بالا و ظاهری طبیعی، لبخندی جذاب برای شما به ارمغان می آورد.
مطالب مفید: هزینه لمینت دندان
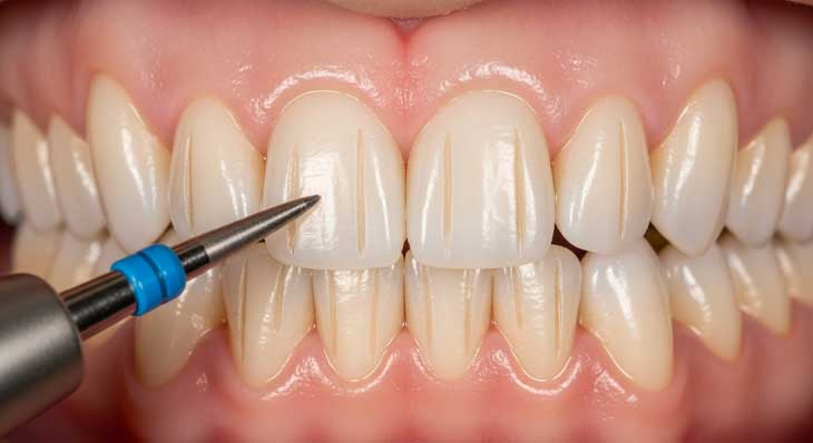
نحوه تراش دندان برای لمینت
در نخستین گام آماده سازی دندان برای انجام انواع لمینت دندان، دکتر دندانپزشک متخصص وضعیت کلی دهان و دندان ها را بررسی می کند تا مطمئن شود که هیچ گونه پوسیدگی یا مشکل سلامتی در آن ها وجود ندارد. به عنوان نمونه، اگر بیمار پیش تر روی دندان های خود کامپوزیت داشته باشد، بهترین دکتر لمینت دندان ابتدا آن را به طور کامل برداشته و در صورت وجود هرگونه پوسیدگی، بخش های آسیب دیده را پاک سازی می کند.
پس از ارزیابی اولیه، با تزریق بی حسی به لثه، دندانپزشک بر اساس عواملی مانند ضخامت لمینت و نوع مواد استفاده شده، مقدار لازم از سطح مینای دندان را برای نصب لمینت بر می دارد. این میزان باید به گونه ای باشد که دندان ها همچنان طبیعی به نظر برسند و با سایر دندان ها تداخل نداشته باشند. بهترین دندانپزشک تهران می داند که چقدر از سطح دندان را باید بتراشد، زیرا تراش بیش از حد ممکن است به عاج دندان برسد و باعث شل شدن یا شکستن لمینت شود.
حداقل و حداکثر میزان تراش دندان برای لمینت دندان
تراشیدن بیش از این مقدار می تواند به آسیب های جدی به دندان ها منجر شود، و کمتر از این حد نیز ممکن است مانع از ایجاد هماهنگی و اتصال مطلوب برای لمینت گردد. اگر متخصص تشخیص دهد که برای لمینت نیاز به تراش بیش از ۰.۸ میلی متر است، بهتر است از روش های دیگری مانند ارتودنسی برای صاف کردن دندان ها استفاده کند.
در فرآیند بازسازی لبخند و بهبود زیبایی دندان ها، استفاده از روکش زیرکونیوم دندان به دلیل استحکام بالا و جلوه طبیعی، گزینه ای ایده آل و ماندگار محسوب می شود.
مقاله مفید: تفاوت لمینت با کامپوزیت دندان
چه عواملی روی میزان تراش مینای دندان تاثیر می گذارند؟
لمینت های سرامیکی دارای برند های متنوعی هستند که ضخامت های مختلفی دارند، و این تفاوت ها در انتخاب مقدار تراش دندان تأثیرگذار است.
- شدت رنگ پریدگی و ناهماهنگی های ظاهری دندان ها: هرچه رنگ پریدگی و نقص های ظاهری دندان ها بیشتر باشد، برای پوشاندن آن ها نیاز به لایه های ضخیم تری از لمینت خواهد بود، که این کار مستلزم تراش بیشتر دندان ها است.
- بررسی پوسیدگی دندان: پیش از نصب لمینت، بررسی وجود یا عدم وجود پوسیدگی دندان ضروری است.
- میزان بهم ریختگی دندان ها: لمینت سرامیکی برای دندان هایی با ناهماهنگی های جزئی مناسب است، اما هرچه این نا مرتبی بیشتر باشد، به تراش بیشتری نیاز خواهد بود. اگر نا مرتبی شدید باشد یا فک ها در جایگاه مناسب نباشند، ارتودنسی گزینه ی بهتری برای اصلاح وضعیت دندان ها است.
- ترمیم شکستگی دندان: اگر بخشی از دندان شکسته باشد، ابتدا این قسمت با مواد مخصوص ترمیم می شود و پس از شکل دهی دندان، لمینت روی آن قرار می گیرد تا ظاهری طبیعی و یکدست ایجاد شود.
بیشتر بدانید: علت افتادن روکش دندان
لمینت دندان بدون تراش چیست؟
روکش های بدون نیاز به تراش، که به نام لمینت No-Prep شناخته می شوند، لایه های بسیار نازکی هستند که بدون آسیب به مینای دندان روی دندان ها قرار می گیرند. معروف ترین نمونه از این نوع لمینت ها، لومینیرز است که علاوه بر زیبایی و شفافیت بالا، دوام فوق العاده ای دارد. متأسفانه، تولید لومینیرز تنها در اختیار شرکت اصلی آن در آمریکا است و در ایران هیچ مرکز یا آزمایشگاهی قادر به ساخت این نوع لمینت نیست. اگر مایل به تراشیدن دندان نیستید، مقاله لمینت دندان بدون تراش را مطالعه کنید.
تراشیدن دندان برای لمینت چه عوارضی دارد؟
یکی از دغدغه های اصلی درباره لمینت، خطرات احتمالی ناشی از تراش مینای دندان است. چنانچه این فرآیند به شکل اصولی انجام شود، آسیبی به مینای دندان وارد نشده و عوارضی نیز به دنبال نخواهد داشت. با این حال، تراش نادرست می تواند به مینای دندان آسیب برساند. در چنین مواردی، درد و حساسیت دندان به عنوان رایج ترین عوارض ظاهر می شوند که به ویژه در مواجهه با غذاهای بسیار سرد یا داغ می تواند اذیت کننده باشد. سایر عوارض ناشی از تراش غیر اصولی دندان عبارتند از:
- افزایش احتمال ترک خوردگی دندان ها
- پوسیدگی به دلیل نازک شدن لایه مینایی
- کاهش مقاومت دندان در برابر فشار زیاد
- غیرقابل برگشت بودن آسیب به دندان
- افزایش خطر آسیب در اثر دندان قروچه
مقایسه مقدار تراش دندان برای لمینت در روش های مختلف
|
نوع لمینت |
مقدار تراش معمول |
ویژگی اصلی |
|
لمینت سرامیکی فلدسپاتیک |
۰.۵ تا ۰.۸ میلی متر |
زیبایی و شفافیت بالا |
|
لمینت سرامیکی ایمکس |
۰.۳ تا ۰.۶ میلی متر |
استحکام و زیبایی عالی |
|
لومینیرز (بدون تراش) |
صفر تا ۰.۲ میلی متر |
بسیار نازک و محافظه کارانه |
|
ونیر کامپوزیتی |
صفر تا ۰.۳ میلی متر |
انجام در یک جلسه، حداقل تراش |
هزینه لمینت دندان و ارتباط آن با میزان تراش
به طور کلی، مقدار تراش دندان برای لمینت تاثیر مستقیمی بر هزینه نهایی ندارد. هزینه این درمان بیشتر به جنس لمینت (سرامیکی یا کامپوزیتی)، برند مورد استفاده (مانند لمینت سرامیکی ایمکس EMAX)، هزینه های لابراتوار و تخصص دندانپزشک بستگی دارد. بهترین کلینیک دندانپزشکی تهران مرکزی است که با شفافیت کامل، تمام هزینه ها را برای شما شرح دهد.
خدمات تخصصی دندانپزشکی در سعادت آباد
انتخاب یک مرکز تخصصی و پزشکی باتجربه، مهم ترین عامل در موفقیت درمان شماست. کلینیک مژگان آزاد خواه دندانپزشک منطقه 2 تهران با بهره گیری از جدیدترین تکنولوژی ها و رویکردهای مدرن، خدمات تشخیصی و درمانی جامعی را ارائه می دهد.
خدمات تخصصی ارتودنسی به عنوان جایگزین تراش زیاد
در مواردی که نامرتبی دندان ها شدید است و برای اصلاح آن با لمینت نیاز به تراش وسیع وجود دارد، ارتودنسی یک راه حل بسیار بهتر و محافظه کارانه تر است. در کلینیک دکتر آزادخواه، مجموعه کاملی از خدمات ارتودنسی برای اصلاح موقعیت دندان ها قبل از درمان های زیبایی ارائه می شود.
- ارتودنسی ثابت
- ارتودنسی متحرک
- ارتودنسی نامرئی
- ارتودنسی لینگوال
- ارتودنسی کودکان
- ارتودنسی دیمون
- متخصص ارتودنسی
نقش دندانپزشک متخصص در حداقل کردن مقدار تراش دندان برای لمینت
مهارت و تجربه دندانپزشک، مهم ترین عامل در تعیین مقدار تراش دندان برای لمینت است. یک دندانپزشک زیبایی ماهر، با دید هنری و دانش فنی خود، تلاش می کند تا با حداقل تراش ممکن، بهترین نتیجه را خلق کند. بهترین دکتر لمینت دندان کسی است که سلامت دندان شما را در اولویت قرار می دهد.
آیا تراشیدن دندان درد دارد؟
خیر. فرآیند تراش دندان برای لمینت کاملا بدون درد است. دندانپزشک قبل از شروع کار، از بی حسی موضعی استفاده می کند تا بیمار هیچ گونه ناراحتی را احساس نکند. پس از رفع اثر بی حسی، ممکن است کمی حساسیت دندان ها به سرما و گرما وجود داشته باشد که طبیعی و موقتی است.
نتیجه گیری
میزان این تراش به عوامل متعددی بستگی دارد و توسط یک دندانپزشک متخصص و با تجربه به حداقل ممکن می رسد. با انتخاب یک پزشک ماهر مانند دندانپزشک در سعادت آباد، دکتر مژگان آزادخواه، می توانید اطمینان حاصل کنید که این فرآیند با بالاترین دقت و با حفظ حداکثری ساختار سالم دندان شما انجام خواهد شد.
به مشاوره نیاز دارید؟
فرم مشاوره و رزرو وقت
سوالات متداول
آیا پس از تراش دندان، ظاهر آن ناخوشایند خواهد بود؟
تا زمان نصب لمینت های دائمی، دندانپزشک از روکش های موقت همرنگ دندان برای شما استفاده می کند. بنابراین ظاهر دندان های شما در این فاصله زمانی نیز کاملا طبیعی و قابل قبول خواهد بود.
آیا می توانم روی دندانی که قبلا پر شده، لمینت نصب کنم؟
بله، اما به شرطی که پر کردن دندان وسیع نباشد و ساختار باقی مانده دندان به اندازه کافی محکم باشد. اگر پرکردگی بزرگ باشد، ممکن است دندانپزشک به جای لمینت، استفاده از روکش دندان کامل را توصیه کند.
آیا لمینت ها نیاز به تعویض دارند و آیا در آن زمان دندان دوباره تراش می خورد؟
لمینت های سرامیکی طول عمر بالایی دارند.
اگر دندانپزشک دندانم را بیش از حد تراش دهد چه اتفاقی می افتد؟
تراش بیش از حد می تواند به عاج دندان آسیب برساند، باعث حساسیت شدید و دائمی شود و قدرت چسبندگی لمینت را کاهش دهد. در موارد شدید، ممکن است منجر به نیاز به درمان ریشه دندان شود. به همین دلیل انتخاب یک دندانپزشک ماهر بسیار حیاتی است.
آیا مقدار تراش دندان برای لمینت در هزینه آن تاثیر دارد؟
خیر، به طور مستقیم تاثیری ندارد. هزینه لمینت به ازای هر واحد دندان محاسبه می شود و پیچیدگی طرح درمان (و نه صرفا میزان تراش) می تواند هزینه را تحت تاثیر قرار دهد.
آیا بعد از لمینت می توانم جرم گیری کنم؟
بله. جرم گیری دندان لمینت شده نه تنها ممکن، بلکه ضروری است. دندانپزشک یا بهداشت کار از ابزارها و خمیر های پولیش مخصوصی استفاده می کند که به سطح لمینت آسیب نرساند.
آیا برای اصلاح فاصله بین دندان ها نیاز به تراش است؟
برای اصلاح فاصله دندان ها با لمینت، معمولا نیازی به تراش دندان نیست یا تراش بسیار جزئی خواهد بود. در این موارد، لمینت به سطح دندان اضافه می شود تا فضا را ببندد.
منابع:










