مشاوره آنلاین و رزرو وقت

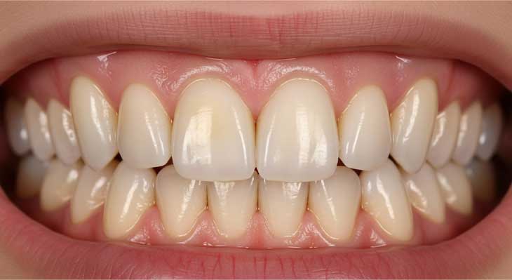
چرا کامپوزیت دندان زرد می‌شود؟

چرا کامپوزیت دندان زرد می‌ شود؟ کامپوزیت دندان به عنوان یکی از محبوب ترین روش های زیبایی، لبخندی زیبا و طبیعی را به افراد هدیه می دهد. اما یکی از بزرگ ترین دغدغه های مراجعین، احتمال زرد شدن آن در طول زمان است. این تغییر رنگ که می تواند زیبایی لبخند را تحت تاثیر قرار دهد، ناشی از ماهیت متخلخل رزین کامپوزیت است که آن را مستعد جذب رنگدانه های خارجی می کند. عواملی مانند رژیم غذایی، عادات روزمره و کیفیت مواد استفاده شده، همگی در این فرآیند نقش دارند. درک اینکه فرق لمینت و کامپوزیت و ایمپلنت در پایداری رنگ چیست، به انتخاب آگاهانه تر کمک می کند.

این مقاله به صورت جامع به بررسی این سوال می پردازد که چرا کامپوزیت دندان زرد می‌ شود؟ و تمام دلایل داخلی و خارجی آن را تشریح می کند. همچنین، راهکارهای عملی برای پیشگیری و جدید ترین روش های درمانی برای باز گرداندن سفیدی و درخشش به کامپوزیت های تغییر رنگ یافته را ارائه خواهیم داد.

دکتر مژگان آزادخواه، دکتر دندانپزشک، با استفاده از بهترین مواد و تکنیک های پیشرفته، به شما کمک می کند تا لبخندی زیبا و با دوام داشته باشید و از زرد شدن زودهنگام کامپوزیت خود جلوگیری کنید.

طرف قراردادبا:
طرف قراردادبا:

به مشاوره نیاز دارید؟

فرم مشاوره و رزرو وقت

چرا کامپوزیت دندان زرد می شود؟ (توضیح کامل)

کامپوزیت دندان، که به آن ونیر کامپوزیت نیز گفته می شود، یک ماده ترمیمی مبتنی بر رزین است که برای اصلاح طرح لبخند، ترمیم شکستگی ها و پر کردن حفرات دندانی به کار می رود. این ماده به دلیل قابلیت شکل پذیری بالا و هم رنگی با دندان های طبیعی، محبوبیت زیادی دارد. با این حال، ساختار رزینی آن دارای تخلخل های میکروسکوپی است که این ویژگی، کامپوزیت را در برابر جذب رنگدانه های موجود در مواد غذایی و نوشیدنی ها آسیب پذیر می کند. برخلاف لمینت های سرامیکی که سطحی شیشه ای و نفوذ ناپذیر دارند، سطح کامپوزیت به مرور زمان می تواند رنگدانه ها را به خود جذب کند.

چرا کامپوزیت دندان زرد می‌ شود؟ یکی دیگر از دلایل اصلی زرد شدن، پلیمریزاسیون ناقص رزین است. اگر کامپوزیت در حین سخت شدن با نور لیزر، به طور کامل پلیمریزه نشود، ساختار آن ضعیف تر بوده و مقاومت کمتری در برابر تغییر رنگ خواهد داشت. کیفیت مواد اولیه نیز نقش تعیین کننده ای دارد؛ انواع کامپوزیت دندان با برند های مختلف، دارای اندازه ها و انواع متفاوتی از ذرات فیلر هستند. کامپوزیت هایی که دارای ذرات فیلر کوچک تر و توزیع یکنواخت تر هستند، سطح صاف تری ایجاد کرده و مقاومت بیشتری در برابر لکه پذیری دارند.

  • چرا کامپوزیت دندان زرد می‌ شود؟ مهمترین دلایل زردی کامپوزیت دندان

    • مصرف زیاد نوشیدنی‌ های رنگی
      مانند چای، قهوه و نوشابه که باعث نفوذ رنگدانه‌ ها به سطح کامپوزیت می‌ شوند.
    • سیگار کشیدن و مصرف دخانیات
      نیکوتین و قطران موجود در سیگار موجب تغییر رنگ کامپوزیت در مدت زمان کوتاه می‌ شوند.
    • عدم رعایت بهداشت دهان و دندان
      مسواک نزدن منظم و عدم استفاده از نخ دندان باعث ایجاد جرم و زردی روی کامپوزیت می‌ شود.
    • رژیم غذایی حاوی مواد رنگی قوی
      غذاهایی مانند زعفران، ادویه کاری، رب گوجه‌ فرنگی و زردچوبه باعث تغییر رنگ سطحی می‌ شوند.
    • کیفیت پایین مواد کامپوزیتی استفاده شده
      کامپوزیت‌ های ارزان و بی‌ کیفیت زودتر دچار تغییر رنگ می‌ شوند.
    • گذشت زمان و فرسودگی سطح کامپوزیت
      با گذشت زمان، سطح کامپوزیت دچار سایش و میکرو ترک‌ هایی می‌ شود که رنگ را جذب می‌ کنند.
    • عدم پولیش و پرداخت نهایی مناسب
      اگر پس از انجام کامپوزیت، سطح به خوبی صیقلی و صاف نشده باشد، رنگدانه‌ ها راحت‌ تر جذب می‌ شوند.
    • مصرف برخی داروها یا مکمل‌ ها
      بعضی داروهای آهن یا مکمل‌ ها می‌ توانند باعث ایجاد لکه روی کامپوزیت شوند.
    • افزایش اسیدیته دهان
      محیط اسیدی (ناشی از رفلاکس معده یا مصرف زیاد مرکبات) سطح کامپوزیت را حساس‌ تر به رنگ می‌ کند.
    • دندان‌ قروچه و ساییدگی‌ های شبانه
      این عادت باعث زبری سطح کامپوزیت شده و جذب رنگ را بیشتر می‌ کند.

مقایسه میزان تغییر رنگ در انواع مختلف کامپوزیت

چرا کامپوزیت دندان زرد می‌ شود؟ همه کامپوزیت ها یکسان ساخته نمیشوند و مقاومت آنها در برابر تغییر رنگ میتواند متفاوت باشد. این تفاوت عمدتا به اندازه و نوع ذرات فیلر موجود در ماتریس رزینی آنها بستگی دارد و کامپوزیت IPS یکی از برند های شناخته شده در این زمینه است.

  • کامپوزیت های ماکروفیل: این نسل قدیمی تر کامپوزیت ها دارای ذرات فیلر بزرگی بودند که باعث ایجاد سطحی زبر تر میشد. این زبری، آنها را بسیار مستعد تغییر رنگ و سایش میکرد و امروزه کمتر استفاده میشوند.
  • کامپوزیت های میکروفیل: این نوع با داشتن ذرات بسیار ریز، سطحی بسیار صاف و براق (شبیه به مینای دندان) ایجاد می کنند که مقاومت خوبی در برابر لکه پذیری سطحی دارند. اما از نظر استحکام ضعیف تر هستند.
  • کامپوزیت های هیبرید: این کامپوزیت ها با ترکیب ذرات بزرگ و کوچک، سعی در دستیابی به تعادلی بین استحکام و زیبایی دارند. مقاومت آنها در برابر تغییر رنگ متوسط است.
  • کامپوزیت های نانوفیل و نانوهیبرید: این جدید ترین نسل کامپوزیت ها هستند که با استفاده از فناوری نانو، دارای ذرات بسیار ریز و توزیع یکنواخت هستند. آنها سطحی بسیار صاف و مقاوم در برابر سایش ایجاد می کنند که بالا ترین مقاومت را در برابر تغییر رنگ در بلند مدت دارند.

عوامل داخلی مؤثر در زرد شدن کامپوزیت دندان

چرا کامپوزیت دندان زرد می‌ شود؟ ممکن است دلایل مختلفی داشته باشد، اما کمتر کسی می‌ داند که این مشکل فقط به خوردن چای و قهوه یا سیگار کشیدن محدود نمیشود. گاهی دلایل اصلی، درون بدن یا حتی درون خود کامپوزیت نهفته‌ هستند! عواملی مثل اسیدی بودن بزاق، دندان‌ قروچه، رفلاکس معده یا مصرف بعضی داروها می‌ توانند زمینه‌ ساز تغییر رنگ کامپوزیت شوند. از طرفی، نوع کامپوزیت و مواد تشکیل‌ دهنده‌ آن هم نقش مهمی در مقاومت آن در برابر زرد شدن دارند.

برای مثال، نبود برخی ترکیبات مقاوم در ساختار رزین، استفاده از فیلر های ضعیف یا پلیمریزاسیون ناقص می‌ تواند باعث جذب بیشتر رنگدانه‌ ها و زردی زود هنگام شود. بنابراین برای داشتن لبخندی ماندگار و سفید، هم انتخاب کامپوزیت مناسب مهم است و هم توجه به شرایط دهان و بدن خودتان.

  • عوامل داخلی مؤثر در تغییر رنگ کامپوزیت دندان:

    • ترکیب شیمیایی بزاق دهان: بزاق اسیدی یا حاوی ترکیبات خاص می‌ تواند باعث افزایش جذب رنگ توسط کامپوزیت شود.
    • دندان‌ قروچه (براکسیسم): فشار مداوم به دندان‌ ها باعث ایجاد میکرو ترک‌ در کامپوزیت و نفوذ رنگ می‌ شود.
    • مصرف برخی داروها: مثل مکمل آهن، آنتی‌ بیوتیک‌ ها یا داروهای خاصی که رنگ بزاق را تغییر می‌ دهند.
    • مشکلات گوارشی مانند رفلاکس معده: تماس اسید معده با دهان، محیط اسیدی ایجاد کرده و باعث فرسایش کامپوزیت می‌ شود.
    • کیفیت مواد سازنده کامپوزیت: نبود مواد مقاومی مثل UDMA در ساختار رزین باعث افزایش جذب آب و رنگ می‌ شود.
    • نوع فیلر استفاده شده در کامپوزیت: فیلر های ضعیف‌ تر مثل ماکروفیل‌ ها نسبت به رنگ‌ پذیری حساس‌ تر هستند.
    • پلیمریزاسیون ناقص: اگر کامپوزیت بطور کامل سخت نشود، مونومر های باقیمانده باعث کاهش مقاومت رنگی می‌ شوند.

مقاله مرتبط: آیا کامپوزیت به دندان طبیعی آسیب می زند؟

چرا کامپوزیت دندان زرد می‌شود؟

عوامل بیرونی مؤثر در زرد شدن کامپوزیت دندان

چرا کامپوزیت دندان زرد می‌ شود؟ تحت تأثیر عوامل خارجی معمولاً به خاطر ماندن مواد رنگی بر روی سطح کامپوزیت اتفاق می‌ افتد. معمولا عادات روزمره مثل استفاده از سیگار یا مصرف چای و قهوه زیاد می‌ تواند به تغییر رنگ کامپوزیت دندان کمک زیادی کند.

مواد رنگی موجود در این مواد به سطح کامپوزیت دندان می‌ چسبد و تا پشت دندان‌ ها نیز ممکن است جرم بگیرد. حتی ساختار دندان طبیعی نیز در برابر حجم زیادی از این مواد مقاومت کمی دارد و ممکن است تغییر رنگ دهد. برخی از این عوامل خارجی و تأثیرات نامطلوب آن بر کامپوزیت دندان شامل موارد زیر است.

  • عوامل بیرونی مؤثر در تغییر رنگ کامپوزیت دندان:

    • مصرف نوشیدنی‌ های رنگدانه‌ دار: مانند قهوه، چای، نوشابه و آبمیوه‌ های صنعتی.
    • سیگار و دخانیات: که نیکوتین موجود در آن باعث زرد شدن سریع کامپوزیت می‌ شود.
    • غذاهای پر ادویه و رنگی: مانند زعفران، زردچوبه، سس‌ های رنگی و ترشی‌ ها.
    • رعایت نکردن بهداشت دهان و دندان: مثل مسواک نزدن منظم یا استفاده نکردن از نخ دندان.
    • مصرف مداوم نوشیدنی‌ های اسیدی: مانند نوشابه‌ های انرژی‌ زا یا نوشیدنی‌ های ترش.
    • استفاده نادرست از دهانشویه‌ های رنگی یا الکلی: که باعث تغییر رنگ سطحی کامپوزیت می‌ شوند.
    • پولیش ناکافی یا نامناسب در هنگام نصب کامپوزیت: که باعث جذب بیشتر رنگدانه‌ ها می‌ شود.

تأثیر مواد غذایی رنگی بر تغییر رنگ کامپوزیت دندان

چرا کامپوزیت دندان زرد می‌ شود؟ رنگ‌ های طبیعی و غیرطبیعی مختلفی در انواع غذا‌ ها و نوشیدنی‌ ها وجود دارد که می‌ تواند زمینه را برای زرد شدن کامپوزیت فراهم کند. استفاده از چای، قهوه، مشروبات، نیکوتین و سیگار، برخی از مواد ضد عفونی‌ کننده موجود در دهانشویه‌ ها و… از اصلی‌ ترین مواد رنگی هستند که می‌ توانند باعث تغییرات رنگ کامپوزیت دندان شوند. یکی از اصلی‌ ترین عوامل تغییر رنگ بافت و قسمت‌ های مختلف دهان و دندان ماده ضد باکتری کلروهگزیدین به کار رفته در دارو‌ های مورد استفاده برای بیماری‌ های دهان و دندان است.

مصرف روزانه این نوع دارو‌ ها یا مواد غذایی که از کروماتوژنیک برخوردارند، به سرعت می‌ تواند سولفید آهن تشکیل دهند و در نتیجه کامپوزیت تغییر رنگ می‌ دهد. آب میوه‌ های دارای مواد غیر طبیعی و نوشیدنی‌ های دیگر ظاهر رزین‌ های کامپوزیت را تحت تأثیر قرار می‌ دهند و کیفیت آن را کاهش می‌ دهند. نوشیدنی‌ های اسیدی که میزان PH آن از ۳ کمتر باشد، می‌ تواند مقاومت کامپوزیت را کاهش دهد. همچنین مصرف مواد قندی نیز در کاهش مقاومت کامپوزیت دندان تأثیر‌ گذار است.

زردی کامپوزیت: پولیش کردن نامناسب دندان بعد از کامپوزیت

اگر بعد از کامپوزیت، پولیش دندان به طور صحیح انجام نگیرد، احتمال وجود پلاک و نفوذ مواد رنگی و آب به کامپوزیت افزایش پیدا خواهد کرد. به همین دلیل بعد از انجام کامپوزیت دندان در مرحله نهایی، سطح آن را کاملاً صاف و پولیش می‌ کنند تا مقاومت آن در برابر هر نوع تغییر رنگ بیشتر شود.

چرا کامپوزیت دندان زرد می‌ شود؟ گاهی اوقات عدم فرم دهی صحیح رزین کامپوزیت به خاطر دارا بودن ذرات فیلر غیر آلی در ماتریس سازنده کامپوزیت نیز که خواص مکانیکی کامپوزیت را مثل افزایش جذب مواد رنگی افزایش می‌ دهد و در نتیجه شرایط را برای زرد شدن کامپوزیت فراهم می‌ کند. هر چه میزان ذرات فیلر بزرگ‌ تر شود، رسوب مواد رنگی بر کامپوزیت هم بیشتر می‌ شود. معمولاً موادی که تحت تأثیر حرارت سفت می‌ شوند نرخ پلیمریزاسیون بیشتری نسبت به سفت شدن این مواد با نور لیزر دارند و در نتیجه مقاومت این مواد در برابر تغییرات رنگ بیشتر است.

مقالات مفید:  بهترین روش مراقبت بعد از کشیدن دندان

چرا کامپوزیت دندان زرد می‌شود؟

آیا کامپوزیت زرد شده قابل ترمیم است؟

بله، در بسیاری از موارد کامپوزیت زرد شده قابل ترمیم است؛ اما میزان موفقیت این ترمیم به شدت تغییر رنگ و علت آن بستگی دارد. اگر زردی در سطح کامپوزیت ایجاد شده باشد، معمولاً با پولیش حرفه‌ ای در مطب دندانپزشکی می‌ توان لکه‌ ها را از بین برد و درخشش اولیه را باز گرداند. اما در صورت وجود لکه‌ های عمقی یا آسیب ساختاری، تعویض کامل یا بازسازی بخشی از کامپوزیت بهترین راهکار خواهد بود.

به همین دلیل، بررسی دقیق توسط دندانپزشک و انتخاب روش مناسب اهمیت زیادی دارد. برای دریافت بهترین نتیجه در ترمیم کامپوزیت‌ های تغییر رنگ یافته، می‌ توانید از تجربه و تخصص دکتر آزادخواه، متخصص ترمیمی و زیبایی دندان بهرهمند شوید.

آیا سفید کننده‌ ها و مواد بلیچینگ برای درمان زردی کامپوزیت مؤثر هستند؟

خیر، سفید کننده‌ ها و مواد بلیچینگ که برای دندان‌ های طبیعی کاربرد دارند، معمولاً بر روی کامپوزیت دندان تأثیر چندانی ندارند. این مواد با نفوذ به ساختار مینای دندان باعث سفید شدن آن می‌ شوند، اما کامپوزیت‌ ها ساختار غیر آلی و کاملاً متفاوتی دارند و واکنش شیمیایی سفید کننده‌ ها در آنها رخ نمیدهد. به همین دلیل، اگر سطح کامپوزیت تغییر رنگ داده باشد، استفاده از بلیچینگ هیچ نتیجه‌ ای در سفید شدن آن نخواهد داشت.

چرا کامپوزیت دندان زرد می‌ شود؟ در برخی موارد، استفاده نادرست از مواد سفید کننده می‌ تواند به بافت اطراف کامپوزیت آسیب برساند یا باعث ایجاد تفاوت رنگ فاحش بین دندان‌ طبیعی سفید شده و کامپوزیت زرد باقیمانده شود. بنابراین، اگر کامپوزیت دندان زرد شده باشد، بهترین راه‌ حل مراجعه به دندانپزشک برای پولیش حرفه‌ ای یا تعویض ترمیم قدیمی است. تصمیم‌ گیری درباره نوع درمان بستگی به شدت زردی، عمر کامپوزیت و کیفیت آن دارد.

روش های درمانی برای کامپوزیت زرد شده

زرد شدن کامپوزیت دندان به مرور زمان امری رایج است، اما خوشبختانه روش های مختلفی برای درمان و بازگرداندن رنگ طبیعی آن وجود دارد. انتخاب بهترین روش به شدت تغییر رنگ و علت آن بستگی دارد.

  • پولیش حرفه ای: برای لکه های سطحی، این اولین و ساده ترین راه حل است که لایه ای بسیار نازک از سطح را برداشته و درخشش را بازمی گرداند.
  • ترمیم یا بازسازی سطحی (Resurfacing): برای لکه های کمی عمیق تر، دندانپزشک لایه رویی کامپوزیت را برداشته و آن را با یک لایه جدید جایگزین می کند.
  • تعویض کامل ونیر کامپوزیت: برای کامپوزیت های قدیمی، فرسوده یا با تغییر رنگ بسیار شدید، بهترین و قطعی ترین راه حل، برداشتن کامل ترمیم و جایگزینی آن با کامپوزیت جدید است.
  • استفاده از روکش (در موارد خاص): اگر دندان زیرین نیز دچار مشکل ساختاری باشد، گاهی ممکن است بهترین گزینه، قرار دادن یک روکش کامل روی دندان باشد.
  • پیشگیری: بهترین درمان، پیشگیری از طریق رعایت بهداشت و جرم گیری دندان به صورت منظم است.

چرا کامپوزیت دندان زرد می‌ شود؟ راهکارهای درمان:

روش درمان توضیحات
پولیش حرفه‌ ای پاک کردن لکه‌ های سطحی و بازیابی درخشش اولیه کامپوزیت
تعویض یا بازسازی کامپوزیت برای لکه‌ های عمقی یا کامپوزیت‌ های قدیمی و آسیب‌ دیده
استفاده از خمیر دندان مخصوص کامپوزیت کمک به کاهش رنگ‌ پذیری سطحی در مراحل ابتدایی زردی
پرهیز از مواد رنگ‌ زا پس از درمان برای ماندگاری بیشتر نتیجه درمان
رعایت دقیق بهداشت دهان و دندان پیشگیری از زردی دوباره

راهکارهای پیشگیری از زرد شدن کامپوزیت دندان

پیشگیری همیشه بهترین، آسان ترین و کم هزینه ترین راه است. با رعایت چند نکته کلیدی در مراقبت های روزانه، میتوانید عمر و درخشش کامپوزیت های خود را به میزان قابل توجهی افزایش دهید. اولین و مهم ترین قدم، رعایت دقیق بهداشت دهان و دندان است. مسواک زدن حداقل دو بار در روز با یک مسواک نرم و خمیر دندان غیر ساینده، و همچنین استفاده روزانه از نخ دندان، از تجمع پلاک و لکه های سطحی جلوگیری می کند.

قدم دوم، مدیریت رژیم غذایی است. سعی کنید مصرف نوشیدنی های رنگی مانند قهوه، چای و شراب قرمز را محدود کنید و در صورت مصرف، از نی استفاده کرده و پس از آن دهان خود را با آب شستشو دهید. همچنین، کاهش مصرف مواد غذایی با رنگدانه های قوی مانند زردچوبه و زعفران نیز موثر است. ترک کامل استعمال دخانیات نه تنها برای سلامت عمومی شما مفید است، بلکه تاثیر چشمگیری در جلوگیری از زرد شدن سریع کامپوزیت ها دارد. در نهایت، مراجعات منظم (هر شش ماه یک بار) به دندانپزشک برای چکاپ و پالیش کامپوزیت، به حذف لکه های سطحی و حفظ براقیت آن کمک شایانی می کند.

آیا زرد شدن کامپوزیت به دلیل دندان قروچه است؟

چرا کامپوزیت دندان زرد می‌ شود؟ دندان قروچه یا براکسیسم میتواند به طور غیر مستقیم اما موثری باعث تسریع فرآیند زرد شدن کامپوزیت دندان شود. این عادت که شامل ساییدن یا فشردن دندان ها به طور ناخودآگاه (به خصوص در خواب) است، نیروهای بسیار شدیدی را به سطح دندان ها و ترمیم های کامپوزیتی وارد می کند.

  • ایجاد خراش های میکروسکوپی: این فشار و سایش مداوم، به مرور زمان باعث ایجاد خراش های بسیار ریز بر روی سطح صاف و صیقلی کامپوزیت می شود.
  • افزایش زبری سطح: این خراش ها، سطح کامپوزیت را از حالت براق و نفوذ ناپذیر به حالتی زبر و متخلخل تبدیل می کنند.
  • افزایش جذب رنگدانه: سطح زبر و پر از خلل و فرج، مانند یک اسفنج عمل کرده و رنگدانه های موجود در مواد غذایی و نوشیدنی ها را بسیار راحت تر و سریع تر به خود جذب می کند.
  • کدر شدن ظاهر کامپوزیت: علاوه بر جذب رنگ، از بین رفتن سطح صیقلی، باعث می شود کامپوزیت دیگر نور را به خوبی منعکس نکند و ظاهری کدر و مات پیدا کند.
  • راه حل: برای افرادی که دندان قروچه دارند، استفاده از محافظ دهانی شبانه (نایت گارد) پس از انجام کامپوزیت، برای محافظت از سطح آن در برابر سایش و جلوگیری از زرد شدن زودهنگام، کاملا ضروری است.

مراقبت‌ های خانگی مؤثر برای جلوگیری از زرد شدن کامپوزیت

روش مراقبت توضیح
استفاده از مسواک نرم و روزی دوبار مسواک زدن جلوگیری از تجمع پلاک و رنگدانه‌ ها
نخ دندان کشیدن روزانه پاکسازی کامل بین دندانی و کاهش لکه‌ ها
استفاده از خمیر دندان مخصوص دندان‌ های ترمیم‌ شده خمیر هایی بدون مواد ساینده و حاوی فلوراید
کاهش مصرف نوشیدنی‌ های رنگی و دخانیات پیشگیری از جذب رنگدانه در سطح کامپوزیت
مراجعه دوره‌ ای به دندانپزشک برای چکاپ و پولیش حفظ رنگ و سلامت طولانی‌ مدت کامپوزیت

آیا زرد شدن کامپوزیت به دلیل کیفیت پایین مواد است؟

قطعا بله. چرا کامپوزیت دندان زرد می‌ شود؟ چون کیفیت و برند ماده کامپوزیت استفاده شده، یکی از مهم ترین فاکتورها در تعیین مقاومت آن در برابر تغییر رنگ و زرد شدن است. بازار دندانپزشکی پر از برندهای مختلف کامپوزیت با قیمت ها و کیفیت های بسیار متفاوت است. کامپوزیت های ارزان تر و با کیفیت پایین، معمولا از ماتریس رزینی ضعیف تر و ذرات فیلر با اندازه بزرگ و نامنظم ساخته شدند. این ساختار باعث می شود که سطح آنها به خوبی پولیش نشده، زبر باقی بماند و به مرور زمان مانند یک اسفنج، رنگدانه ها را به خود جذب کند.

در مقابل، برندهای معتبر و با کیفیت بالا، با استفاده از فناوری نانو، کامپوزیت هایی با ذرات بسیار ریز (نانوفیل) تولید می کنند. این ذرات ریز باعث ایجاد سطحی بسیار صاف، متراکم و براق می شوند که پولیش پذیری عالی دارد و مقاومت فوق العاده ای در برابر جذب رنگ از خود نشان می دهد.

این کامپوزیت ها همچنین از نظر استحکام و مقاومت در برابر سایش نیز برتر هستند. بنابراین، اصرار بر استفاده از مواد با کیفیت توسط دندانپزشک، یک سرمایه گذاری برای دوام و زیبایی لبخند شما در بلند مدت است و تفاوت لمینت با کامپوزیت دندان در کیفیت مواد، بسیار تعیین کننده است.

آیا زرد شدن کامپوزیت به دلیل پولیش نامناسب است؟

بله، مرحله نهایی و بسیار مهم پس از قرار دادن کامپوزیت، پولیش و پرداخت دقیق آن است که تاثیر مستقیمی بر مقاومت آن در برابر زرد شدن دارد. این مرحله صرفا برای براق کردن کامپوزیت نیست، بلکه یک اقدام فنی برای افزایش طول عمر زیبایی آن است.

  • اهمیت ایجاد سطح صاف: هدف اصلی پولیش، ایجاد یک سطح کاملا صاف و صیقلی در مقیاس میکروسکوپی است. هرگونه زبری یا ناهمواری روی سطح کامپوزیت، محلی برای تجمع پلاک و گیر کردن رنگدانه ها خواهد بود.
  • کاهش تخلخل سطحی: فرآیند پولیش با استفاده از دیسک ها، نوارها و خمیرهای مخصوص، لایه سطحی رزین را که ممکن است در حین کار آلوده شده باشد، حذف کرده و سطحی متراکم و با حداقل تخلخل ایجاد می کند.
  • تاثیر بر بازتاب نور: یک سطح کاملا پولیش شده، نور را به طور یکنواخت منعکس کرده و باعث درخشش و زیبایی کامپوزیت می شود. سطح ناصاف، نور را پراکنده کرده و ظاهری کدر و بی روح ایجاد می کند.
  • نقش مهارت دندانپزشک: پولیش صحیح نیازمند صرف زمان، دقت و استفاده از ابزارهای مناسب به ترتیب صحیح است. مهارت بهترین متخصص کامپوزیت در تهران در این مرحله نهایی، تفاوت چشمگیری در نتیجه بلند مدت ایجاد می کند.

مقایسه عوامل موثر بر اینکه چرا کامپوزیت دندان زرد می‌ شود؟

عامل

نوع تاثیر

میزان تاثیر

راهکار پیشگیری/درمان

رژیم غذایی (قهوه، چای)

خارجی

بالا

کاهش مصرف، استفاده از نی، مسواک زدن بعد از مصرف

استعمال دخانیات

خارجی

بسیار بالا

ترک کامل دخانیات

بهداشت دهان و دندان

خارجی

بالا

مسواک زدن منظم، نخ دندان، جرم گیری دوره ای

کیفیت مواد کامپوزیت

داخلی

بسیار بالا

انتخاب برندهای معتبر و با کیفیت (نانوفیل)

پولیش نهایی

داخلی (تکنیک)

بالا

انجام توسط دندانپزشک ماهر و با دقت

دندان قروچه

داخلی (عادت)

متوسط تا بالا

استفاده از نایت گارد

چرا کامپوزیت دندان زرد می‌ شود؟ و آیا قابل ترمیم است؟

بله، در بسیاری از موارد کامپوزیت زرد شده قابل ترمیم یا بهبود است، اما روش درمان به شدت و عمق تغییر رنگ بستگی دارد. اگر زردی و لکه ها صرفا سطحی باشند، که معمولا در مراحل اولیه و به دلیل تجمع پلاک یا مصرف مواد رنگی رخ می دهد، بهترین و اولین راه حل، انجام یک پولیش حرفه ای در مطب دندانپزشکی است. در این فرآیند، دندانپزشک با استفاده از دیسک ها و خمیرهای پولیش مخصوص، لایه بسیار نازکی از سطح کامپوزیت را برداشته و درخشش و رنگ اولیه آن را تا حد زیادی بازمی گرداند.

اما اگر تغییر رنگ عمیق باشد و به داخل ساختار رزین نفوذ کرده باشد (که معمولا در کامپوزیت های قدیمی یا با کیفیت پایین رخ می دهد)، پولیش به تنهایی کافی نخواهد بود. در این موارد، ممکن است نیاز به برداشتن کامل لایه سطحی کامپوزیت و جایگزینی آن با یک لایه جدید (Resurfacing) باشد. در شرایطی که کامپوزیت بسیار قدیمی، فرسوده و به شدت تغییر رنگ یافته است، بهترین راه حل، برداشتن کامل ترمیم قدیمی و جایگزینی آن با کامپوزیت دندان جدید و با کیفیت است.

مقالات مفید:  مراقبت از دندان در ایام نوروز

آیا سفید کننده ها برای درمان زردی کامپوزیت مؤثر هستند؟

خیر، این یک باور غلط و رایج است. مواد سفید کننده دندان (بلیچینگ) که حاوی پراکسید هیدروژن یا پراکسید کاربامید هستند، به طور خاص برای نفوذ به ساختار متخلخل مینای دندان طبیعی و شکستن مولکول های رنگی طراحی شدند. ساختار شیمیایی رزین کامپوزیت کاملا متفاوت و غیر متخلخل است و به این مواد واکنش نشان نمیدهد.

بنابراین، استفاده از ژل های بلیچینگ، خمیردندان های سفید کننده قوی یا هر محصول دیگری بر روی کامپوزیت های شما، هیچ تاثیری در سفید تر شدن آنها نخواهد داشت. بدتر از آن، این کار می تواند نتیجه معکوس داشته باشد.

اگر شما دندان های طبیعی اطراف کامپوزیت را بلیچینگ کنید، آنها سفیدتر شده و در نتیجه، تفاوت رنگ بین دندان های طبیعی و کامپوزیت زرد شده شما بیشتر و واضح تر خواهد شد و لبخند شما ظاهری ناهماهنگ و چند رنگ پیدا خواهد کرد. به همین دلیل، بلیچینگ یا کامپوزیت باید با ترتیب صحیح انجام شوند؛ همیشه ابتدا بلیچینگ و سپس کامپوزیت.

چرا کامپوزیت دندان زرد می‌شود؟

درمان زردی کامپوزیت در خانه؛ مراقبت یا آسیب؟

بسیاری از افراد به دنبال روش های خانگی برای رفع زردی کامپوزیت های دندان خود هستند، اما باید توجه داشت که بیشتر این روش ها نه تنها مؤثر نیستند، بلکه ممکن است به سطح کامپوزیت آسیب بزنند. مواد سفید کننده خانگی مانند جوش شیرین، پراکسید هیدروژن یا خمیردندان های ساینده، خاصیت سایشی بالایی دارند و می توانند به سطح صاف و براق کامپوزیت صدمه وارد کنند و باعث کدر شدن یا حتی افزایش جذب رنگدانه ها در آینده شوند.

درمان خانگی زردی کامپوزیت بیشتر به صورت پیشگیری و مراقبت معنا پیدا می کند، نه سفید کردن. یعنی با رعایت بهداشت دهان، استفاده از مسواک نرم، خمیر دندان مناسب برای دندان های ترمیم شده، و کاهش مصرف مواد رنگ زا (مانند چای، قهوه، دخانیات و نوشابه) می توان از تغییر رنگ سریع جلوگیری کرد. در صورت مشاهده تغییر رنگ واضح، بهتر است به جای تکرار روش های خانگی سفید کردن دندان، به دندانپزشک مراجعه کنید تا روش درمانی مؤثر و بی خطر انتخاب گردد.

هزینه ترمیم یا تعویض کامپوزیت زرد شده در تهران

هزینه مربوط به اصلاح زردی کامپوزیت دندان به روش درمانی انتخاب شده بستگی دارد. اگر مشکل با یک پولیش حرفه ای برطرف شود، هزینه آن نسبتا پایین و معادل هزینه یک جلسه پولیش یا بروساژ خواهد بود. این کم هزینه ترین راه حل است. اما اگر نیاز به ترمیم سطحی (Resurfacing) یا تعویض کامل ونیر کامپوزیت باشد، هزینه آن به طور قابل توجهی بالاتر خواهد بود.

هزینه تعویض کامل کامپوزیت تقریبا معادل هزینه انجام اولیه آن است و بر اساس تعداد دندان ها، برند و کیفیت ماده کامپوزیت جدید و تخصص دندانپزشک محاسبه می شود. اگرچه این هزینه ممکن است قابل توجه باشد، اما برای بازگرداندن زیبایی لبخند و اعتماد به نفس، یک سرمایه گذاری ضروری است. ونیر کامپوزیت اقساطی یکی از گزینه هایی است که برخی کلینیک ها برای تسهیل پرداخت این هزینه ها به بیماران ارائه می دهند.

دسترسی به خدمات ترمیم کامپوزیت در سعادت آباد

یافتن یک دندانپزشک زیبایی ماهر و با تجربه برای ترمیم یا تعویض کامپوزیت های زرد شده، نقش کلیدی در دستیابی به یک نتیجه زیبا و طبیعی دارد. کلینیک دکتر آزادخواه، با قرار گرفتن در منطقه سعادت آباد، به عنوان یکی از مراکز تخصصی دندانپزشکی در شمال تهران، دسترسی آسانی را برای مراجعین فراهم کرده است. این منطقه به دلیل تمرکز بالای کلینیک های مدرن، به عنوان قطب دندانپزشکی شناخته می شود.

انتخاب بهترین دندانپزشک شمال تهران در این منطقه به شما این اطمینان را می دهد که از بهترین مواد و جدید ترین تکنیک ها برای ترمیم کامپوزیت شما استفاده خواهد شد. موقعیت مکانی این کلینیک برای ساکنین مناطق مجاور مانند شهرک غرب نیز بسیار مناسب است و به آنها اجازه می دهد تا خدمات دندانپزشکی زیبایی با کیفیت بالا را در نزدیکی محل زندگی خود دریافت کنند.

چرا کامپوزیت دندان زرد می‌ شود؟ مقایسه روش های درمانی

روش درمانی

مناسب برای

میزان تهاجمی بودن

طول عمر نتیجه

پولیش حرفه ای

لکه های سطحی و زردی خفیف

غیر تهاجمی

موقت (نیازمند تکرار)

ترمیم سطحی (Resurfacing)

لکه های متوسط که به عمق نفوذ نکردند

حداقل تهاجم

متوسط (چند سال)

تعویض کامل ونیر

لکه های عمیق، کامپوزیت قدیمی و فرسوده

تهاجمی (برداشت کامل)

طولانی (مانند کامپوزیت نو)

بلیچینگ

به هیچ وجه برای کامپوزیت مناسب نیست

روکش دندان

دندان با تخریب ساختاری زیاد علاوه بر تغییر رنگ

بسیار تهاجمی

بسیار طولانی (بیش از ۱۵ سال)

خدمات تخصصی زیبایی در کلینیک دکتر آزادخواه

کلینیک دکتر آزادخواه با بهره گیری از دانش روز و پیشرفته ترین تجهیزات، آماده ارائه انواع خدمات تخصصی برای درمان کامپوزیت های زرد شده و بازگرداندن زیبایی به لبخند شما است.

  • ایمپلنت دندان: بهترین راه حل دائمی برای جایگزینی دندان های از دست رفته با استفاده از پایه های تیتانیومی.
  • لمینت دندان: پوسته های نازک سرامیکی برای اصلاح رنگ و فرم دندان ها و ایجاد لبخندی هالیوودی.
  • کامپوزیت دندان: ترمیم و زیباسازی دندان ها در یک جلسه با استفاده از مواد همرنگ دندان.
  • لیفت لثه: اصلاح خط لثه برای ایجاد تناسب و زیبایی بیشتر در لبخند، به ویژه برای افرادی که لبخند لثه ای دارند.
  • اصلاح طرح لبخند: ترکیبی از روش های مختلف درمانی و زیبایی برای رسیدن به لبخند ایده آل شما.

سایر خدمات جامع دندانپزشکی

علاوه بر درمان های تخصصی زیبایی، ما طیف وسیعی از خدمات ارتودنسی را برای تامین تمام نیازهای سلامت دندان شما در یک مکان ارائه می دهیم.

  • ارتودنسی ثابت: درمان انواع ناهنجاری های دندانی با استفاده از سیستم های پیشرفته براکت فلزی و سرامیکی.
  • ارتودنسی نامرئی: ارائه سیستم های پیشرفته الاینر شفاف برای درمانی کاملا نامحسوس و راحت.
  • ارتودنسی کودکان: درمان های پیشگیرانه و فانکشنال برای هدایت رشد صحیح فک و دندان ها در سنین پایین.
  • متخصص ارتودنسی: ارائه مشاوره و طرح درمان توسط متخصص ارتودنسی با تجربه برای پیچیده ترین موارد.
  • ارتودنسی لینگوال: نصب بریس ها در پشت دندان ها برای بیمارانی که خواهان درمانی کاملا پنهان هستند.

به مشاوره نیاز دارید؟

فرم مشاوره و رزرو وقت

نتیجه گیری

در پاسخ به اینکه چرا کامپوزیت دندان زرد می‌ شود؟ باید گفت زرد شدن کامپوزیت دندان یک پدیده رایج است که تحت تاثیر عوامل متعددی از جمله رژیم غذایی، بهداشت دهان و دندان، عادات شخصی و کیفیت مواد اولیه قرار دارد. اگرچه این تغییر رنگ میتواند زیبایی لبخند را کاهش دهد، اما خوشبختانه با روش های مختلفی از جمله پولیش حرفه ای، ترمیم سطحی یا تعویض کامل، قابل درمان است. بهترین راهکار، پیشگیری از طریق رعایت دقیق بهداشت، کاهش مصرف مواد رنگی و مراجعات منظم به دندانپزشک است.

انتخاب یک دندانپزشک ماهر و استفاده از مواد با کیفیت بالا از همان ابتدا، نقش کلیدی در افزایش طول عمر و ثبات رنگ کامپوزیت های شما دارد. به یاد داشته باشید که روش های خانگی برای سفید کردن کامپوزیت موثر نبوده و ممکن است آسیب رسان باشند. بهترین کلینیک دندانپزشکی تهران میتواند بهترین مشاوره و درمان را در این زمینه به شما ارائه دهد.

دکتر مژگان آزادخواه، بهترین دندانپزشک در تهران و بهترین دکتر کامپوزیت دندان با دارا بودن کادری مجرب و دستگاه های به روز ارائه دهنده خدمات کامپوزیت ونیر با مرغوب ترین مواد و بهترین شکل می باشد. اگر برای انجام کامپوزیت احتیاج به مشاوره دارید، میتوانید با این مرکز تماس بگیرید.

سوالات متداول

آیا پولیش میتواند زردی کامپوزیت را کاملا از بین ببرد؟

پولیش برای لکه ها و زردی های سطحی بسیار موثر است و میتواند درخشش اولیه را باز گرداند. اما اگر تغییر رنگ به عمق ماده نفوذ کرده باشد، پولیش به تنهایی قادر به حذف کامل آن نخواهد بود و ممکن است نیاز به ترمیم یا تعویض باشد.

آیا خمیر دندان های سفید کننده باعث زرد شدن کامپوزیت میشوند؟

خمیر دندان های سفید کننده به دلیل داشتن مواد ساینده قوی، میتوانند سطح صاف و صیقلی کامپوزیت را خراش داده و آن را زبر کنند. این سطح زبر، در آینده رنگدانه ها را سریع تر و راحت تر به خود جذب می کند و در نتیجه باعث تسریع روند زرد شدن می شود. خمیر دندان زغالی نیز از این قاعده مستثنی نیست.

هر چند وقت یک بار باید برای پولیش کامپوزیت مراجعه کرد؟

به طور ایده آل، توصیه میشود هر شش ماه تا یک سال یک بار، همزمان با چکاپ و جرم گیری دوره ای، برای پولیش حرفه ای کامپوزیت های خود نیز به دندانپزشک مراجعه کنید تا درخشش و سلامت آنها حفظ شود.

آیا زرد شدن کامپوزیت نشانه پوسیدگی دندان زیرین است؟

لزوما خیر. زرد شدن خود ماده کامپوزیت یک پدیده سطحی و مربوط به جذب رنگ است. اما اگر در لبه های کامپوزیت (محل اتصال به دندان) تغییر رنگ قهوه ای یا سیاه مشاهده شود، میتواند نشانه نشت و بروز پوسیدگی دندان در ارتودنسی یا حالت عادی در زیر ترمیم باشد که نیاز به بررسی فوری دارد.

آیا کامپوزیت های نانوفیل واقعا دیرتر زرد میشوند؟

بله، کامپوزیت های نانوفیل به دلیل داشتن ذرات بسیار ریز و قابلیت پولیش پذیری فوق العاده، سطحی بسیار صاف و متراکم ایجاد می کنند. این سطح صیقلی، مقاومت بسیار بالاتری در برابر جذب رنگدانه ها دارد و در مقایسه با نسل های قدیمی تر کامپوزیت، به طور قابل توجهی دیرتر دچار تغییر رنگ میشود.

آیا بعد از تعویض کامپوزیت زرد شده، باز هم احتمال تغییر رنگ وجود دارد؟

بله، کامپوزیت جدید نیز مانند کامپوزیت اولیه، در صورت عدم رعایت مراقبت ها، مستعد تغییر رنگ خواهد بود. موفقیت بلند مدت به همان عواملی بستگی دارد که باعث زرد شدن ترمیم اولیه شدند: رعایت بهداشت، مدیریت رژیم غذایی و مراقبت های بعد از پر کردن دندان.

آیا رفلاکس معده میتواند باعث زرد شدن سریع تر کامپوزیت شود؟

بله، اسید معده که در اثر رفلاکس به دهان بازمی گردد، محیط دهان را بسیار اسیدی می کند. این محیط اسیدی میتواند به مرور زمان سطح رزینی کامپوزیت را دچار فرسایش کرده، آن را زبر تر نماید و مقاومت آن را در برابر جذب رنگدانه ها به شدت کاهش دهد.

منبع

لطفا به ما امتیاز بدهید...
[کل: 3 میانگین: 5]
فهرست مطالب

به مشاوره نیاز دارید؟

جهت دریافت مشاوره رایگان و تعیین وقت حضوری با ما تماس بگیرید.

مقالات مفید

اشتراک در
اطلاع از
2 نظرات
قدیمی‌ترین
تازه‌ترین بیشترین رأی
بازخورد (Feedback) های اینلاین
مشاهده همه دیدگاه ها

علت زرد شدن کامپوزیت دندان چیست؟

زمانیکه شما از کامپوزیت استفاده می کند یک لایه روی دندان شما قرار می گیرد. دلیل اصلی زرد شدن کامپوزیت مراقبت نکردن از دندانها و خوردن زیاد چای می باشد. برای همین باید خیلی مراقب وعده غذایی خود باشید و تا حد امکان دندانهای خود را مسواک بزنید.

فرم مشاوره دکتر مژگان آزادخواه

دکتر مژگان آزادخواه