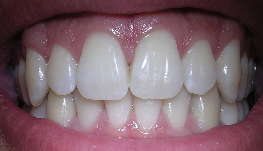
بایت دندان ها، نحوه قرارگیری دندان های بالا و پایین روی یکدیگر هنگام بسته شدن دهان است. در حالت ایده آل، دندان های بالایی کمی جلوتر از دندان های پایینی قرار می گیرند و دندان های پایین با سطح دندان های بالا تماس دارند. هرگونه انحراف از این حالت طبیعی می تواند به ناهنجاری بایت منجر شود که اثرات متعددی بر سلامت دهان و دندان، زیبایی لبخند و کیفیت زندگی فرد دارد. بهترین دندانپزشک تهران به بررسی انواع بایت دندان و ناهنجاری های مرتبط با آن می پردازد.
در سنین رشد، استفاده از روش هایی مانند ارتودنسی پیشگیرانه و به ویژه روش مؤثر و کاربردی ارتودنسی فانکشنال می تواند به بهبود ساختار فک و جلوگیری از بروز ناهنجاری های شدید کمک کند. مقاله علت کج شدن دندان ها در کودکان را مطالعه کنید.
به مناسبت افتتاح کلینیک جدید!
%20 تخفیف ارتودنسی دیجیتال!
فقط با 25% پیش پرداخت
برای دریافت اطلاعات بیشتر، فرم مشاوره را پر کنید.
انواع بایت دندان و ناهنجاری های آن
1. بایت طبیعی (Normal Bite)
در بایت طبیعی، دندان های بالایی کمی جلوتر از دندان های پایینی قرار دارند و همه دندان ها به صورت هماهنگ و متعادل روی یکدیگر قرار می گیرند. این حالت بهترین وضعیت برای عملکرد جویدن و زیبایی است.
بخوانید: ارتودنسی نامرئی برای کودکان
2. اوربایت (Overbite)
اوربایت زمانی اتفاق میافتد که دندانهای جلویی بالا بیش از حد روی دندانهای جلویی پایین قرار میگیرند. این ناهنجاری میتواند از خفیف تا شدید متغیر باشد.
مشکلات مرتبط با اوربایت:
- ساییدگی غیرطبیعی دندانهای جلو
- فشار اضافی بر فک پایین
- مشکلات در گفتار و تلفظ
- افزایش خطر پوسیدگی دندانهای جلو به دلیل تماس مداوم و ساییدگی
مقاله مرتبط: درمان فک نامتقارن و کج
علل اوربایت:
- عوامل ژنتیکی
- عادات نادرست مانند مکیدن انگشت یا استفاده طولانیمدت از پستانک در کودکی
- رشد ناهماهنگ فکها
درمان:
- ارتودنسی: استفاده از بریسها یا الاینرهای شفاف
- جراحی فک در موارد شدید
3. آندربایت (Underbite)
آندربایت به حالتی گفته میشود که دندانهای جلویی پایین جلوتر از دندانهای جلویی بالا قرار میگیرند. این ناهنجاری معمولاً به دلیل رشد ناهماهنگ فکها ایجاد میشود.
مشکلات مرتبط با آندربایت:
- ظاهر نامتقارن صورت
- مشکلات در جویدن و گاز زدن غذا
- افزایش خطر پوسیدگی دندانها
- ایجاد مشکلات مفصلی در فک (TMJ)
علل آندربایت:
- عوامل ارثی
- رشد بیش از حد فک پایین یا عدم رشد کافی فک بالا
- تومورها یا ضربات وارد شده به فک
درمان:
- ارتودنسی ثابت
- جراحی اصلاحی فک در موارد شدید
4. کراس بایت (Crossbite)
در کراس بایت، برخی از دندانهای بالا به جای قرار گرفتن روی دندانهای پایین، داخل آنها قرار میگیرند. این ناهنجاری ممکن است در دندانهای جلویی، عقبی یا هر دو رخ دهد.
مشکلات مرتبط با کراس بایت:
- ساییدگی ناهموار دندانها
- مشکلات لثهای
- ایجاد تنش در مفاصل فک
- خطر بالاتر برای شکستگی دندانها
علل کراس بایت:
- عوامل ژنتیکی
- رشد نامتقارن فکها
- عادات بد دهانی مانند تنفس دهانی یا مکیدن انگشت
درمان:
- دستگاههای ارتودنسی
- درمانهای اصلاحی فک
لینک مرتبط: کامپوزیت برای چه کسانی مناسب است؟
5. اپن بایت (Open Bite)
اپن بایت زمانی رخ میدهد که دندانهای جلو یا عقب هنگام بسته شدن دهان با یکدیگر تماس ندارند و بین آنها فاصله ایجاد میشود.
مشکلات مرتبط با اپن بایت:
- دشواری در جویدن و صحبت کردن
- تاثیر منفی بر زیبایی لبخند
- مشکلات مفاصل فکی (TMJ)
علل اپن بایت:
- مکیدن انگشت یا پستانک در دوران کودکی
- عادات بد مانند فشار زبان به دندانها
- رشد نامتقارن فکها
درمان:
- درمانهای ارتودنسی
- رفع عادات نادرست مانند مکیدن انگشت یا استفاده از پستانک در کودکان
- جراحی فک در موارد شدید
6. بایت عمیق (Deep Bite)
بایت عمیق حالتی است که دندانهای بالایی به طور کامل دندانهای پایینی را میپوشانند و ممکن است لثههای پایین آسیب ببینند.
مشکلات مرتبط با بایت عمیق:
- ایجاد فشار بر مفاصل فک
- آسیب به لثه و بافتهای نرم دهان
- ساییدگی غیرطبیعی دندانهای پایین
علل بایت عمیق:
- رشد ناهماهنگ فکها
- ساییدگی شدید دندانها
- عوامل ژنتیکی
درمان:
- استفاده از بریسها
- جراحی فک در موارد شدید
7. بایت باز خلفی (Posterior Open Bite)
در این حالت، دندانهای عقبی هنگام بسته شدن دهان با یکدیگر تماس ندارند و فاصله بین آنها ایجاد میشود.
مشکلات مرتبط با بایت باز خلفی:
- مشکلات جویدن غذا
- تاثیر بر عملکرد صحیح فک
- ایجاد درد در مفاصل فکی
علل بایت باز خلفی:
- عادات نادرست دهانی
- مشکلات ارثی
- آسیبهای فکی
درمان:
- ارتودنسی و دستگاههای مکانیکی
- جراحی در موارد پیچیده
درمان انواع بایت دندان
انواع درمانها:
- ارتودنسی: پرکاربردترین روش برای اصلاح ناهنجاریهای بایت. ابزارهایی مانند بریسهای فلزی، سرامیکی و الاینرهای شفاف (مانند اینویزیلاین) به تدریج دندانها را به موقعیت صحیح هدایت میکنند. با انواع ارتودنسی دندان آشنا شوید.
- جراحی فک: در موارد شدید، جراحی فک برای اصلاح رشد غیرطبیعی یا موقعیت نادرست فکها انجام میشود.
- دستگاههای مکانیکی: مانند اکسپندرهای فک برای گسترش فضای دهان یا اصلاح موقعیت فک.
مطالعه بیشتر: انواع مال اکلوژن
مقاله مفید: ازدحام و شلوغی دندان ها
مزایای درمان انواع بایت دندانی
- بهبود زیبایی لبخند: دندانهای مرتب و بایت صحیح تاثیر قابل توجهی بر زیبایی چهره دارند.
- کاهش مشکلات گفتاری: اصلاح ناهنجاریهای بایت میتواند مشکلات تلفظی را کاهش دهد.
- افزایش کارایی جویدن: بایت صحیح به توزیع یکنواخت فشار در دهان کمک میکند.
- جلوگیری از مشکلات دندان و لثه: درمان ناهنجاریها خطر ساییدگی، پوسیدگی و بیماریهای لثه را کاهش میدهد.
بهترین راه درمان انواع بایت دندان
بهترین روش درمانی به نوع و شدت ناهنجاری بستگی دارد. متخصص ارتودنسی در تهران، دکتر مژگان آزادخواه، با تجربه و تخصص بالا در این زمینه میتواند بهترین راهکار را برای هر بیمار پیشنهاد دهد. در کلینیک ایشان، فرآیند درمان با استفاده از به روزترین فناوریها و تکنیک های پیشرفته ارتودنسی انجام میشود. یکی از ویژگیهای برجسته دکتر آزادخواه، رویکرد شخصیسازی شده برای هر بیمار است. ابتدا با انجام مشاوره دقیق و بررسی تخصصی وضعیت دهان و دندان، برنامه درمانی اختصاصی برای هر فرد طراحی میشود. در این فرآیند، نوع ناهنجاری، سن بیمار و نیازهای خاص وی در نظر گرفته میشود تا نتایج بهینه حاصل شود.
علاوه بر این، کلینیک دکتر آزادخواه به بهرهگیری از تکنولوژیهای مدرن مانند اسکنرهای دیجیتال سهبعدی و سیستمهای پیشرفته طراحی ارتودنسی مجهز است که دقت و سرعت درمان را بهبود میبخشند. برای افرادی که به دنبال روشهای نامرئی و راحتتر هستند، استفاده از الاینرهای شفاف و تکنیکهای پیشرفته مانند اینویزیلاین در دسترس است.
دکتر آزادخواه، دکتر دندانپزشک در سعادت آباد تهران همچنین تاکید ویژهای بر ایجاد تجربهای راحت و بدون استرس برای بیماران خود دارد. تیم حرفهای و محیط دوستانه کلینیک این اطمینان را به بیماران میدهد که در طول درمان احساس آرامش و اطمینان داشته باشند. در نهایت، تعهد دکتر آزادخواه به ارائه بهترین خدمات درمانی باعث شده که ایشان یکی از معتبرترین متخصصان ارتودنسی در تهران شنناخته شود.
در برخی افراد، انواع دندان عقل به شکل روئیده، نیمه نهفته یا کاملاً نهفته دیده می شود. این تفاوت در رویش می تواند روی سلامت دهان و نیاز به درمان تأثیرگذار باشد.
جمع بندی
ناهنجاریهای بایت دندانها علاوه بر تاثیر بر ظاهر و اعتمادبهنفس، میتوانند مشکلات عملکردی جدی ایجاد کنند. تشخیص به موقع و انتخاب روش درمان مناسب توسط یک متخصص مجرب، مانند دکتر مژگان آزادخواه، اهمیت زیادی دارد.
به مشاوره نیاز دارید؟
فرم مشاوره و رزرو وقت
سوالات متداول درباره انواع بایت دندان
1. آیا ناهنجاریهای بایت فقط جنبه زیبایی دارند؟
خیر، این ناهنجاریها میتوانند بر سلامت دهان و دندان، گفتار و حتی عملکرد گوارشی تاثیر بگذارند.
2. چه سنی برای درمان ناهنجاریهای بایت مناسب است؟
بهترین زمان برای شروع درمان ارتودنسی معمولاً بین 7 تا 14 سالگی است، اما بزرگسالان نیز میتوانند از این درمان بهرهمند شوند.
3. آیا درمان ناهنجاریهای بایت دردناک است؟
درمان ارتودنسی ممکن است کمی ناراحتی ایجاد کند، اما این ناراحتی معمولاً موقتی و قابل تحمل است.
4. مدت زمان درمان چقدر است؟
مدت زمان درمان به نوع ناهنجاری و روش انتخابی بستگی دارد و ممکن است بین چند ماه تا چند سال متغیر باشد.
5. چگونه میتوان از ایجاد ناهنجاریهای بایت پیشگیری کرد؟
پیشگیری شامل رعایت بهداشت دهان و دندان، معاینات منظم دندانپزشکی و درمان بهموقع مشکلات فک و دندانها است.















