همه چیز درباره ارتودنسی فانکشنال
درمان ناهنجاری های فکی و دندانی تنها به ارتودنسی ثابت محدود نمیشود. در بسیاری از موارد، به ویژه در دوران کودکی، بهترین و مؤثرترین راه حل، استفاده از ارتودنسی فانکشنال است. این روش با کمک دستگاه های خاص، رشد طبیعی فک ها را هدایت کرده و از بروز مشکلات جدی در آینده جلوگیری می کند. ارتودنسی فانکشنال بیشتر از آنکه روی جابجایی دندان ها تمرکز کند، عملکرد و موقعیت فک ها را اصلاح می نماید. در این مجموعه مقالات، با زبانی ساده به معرفی این نوع درمان، مزایا، معایب، هزینه ها و تجربیات بیماران می پردازیم تا خانواده ها بتوانند تصمیم آگاهانه تری بگیرند. دکتر مژگان آزادخواه، متخصص ارتودنسی با سابقه درخشان در حوزه درمان های فانکشنال، توانستند با روش های دقیق و علمی، به بسیاری از کودکان کمک کنند تا بدون نیاز به جراحی، زیبایی و عملکرد مطلوب صورت خود را بازیابند. همراه ما باشید تا با این روش مؤثر و کم تهاجمی بیشتر آشنا شوید.
دکتر دندانپزشک در سعادت آباد مژگان آزادخواه، دندانپزشک منطقه ۲ تهران و دندانپزشک خوب تهران، با تمرکز بر دندانپزشکی زیبایی و درمانی، خدمات تخصصی از جمله ایمپلنت دندان، لمینت سرامیکی، جراحی دندان عقل، درمان ریشه دندان و بلیچینگ دندان را با بهره گیری از تجهیزات مدرن و به روز به مراجعین ارائه میدهد.
راهنمایی بگیرید: مشاوره ارتودنسی دندان
به مشاوره نیاز دارید؟
فرم مشاوره و رزرو وقت
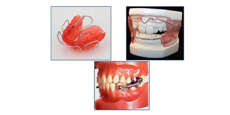
ارتودنسی فانکشنال چیست و چه تفاوتی با ارتودنسی ثابت دارد؟
ارتودنسی فانکشنال نوعی درمان است که با استفاده از دستگاه های متحرک یا نیمه ثابت، عملکرد و رشد فک ها را در کودکان اصلاح می کند. این دستگاه ها معمولاً در سنین رشد استفاده می شوند و هدفشان بهبود موقعیت فک و عضلات اطراف آن است. برخلاف ارتودنسی ثابت که تمرکز اصلی اش بر صاف کردن دندان ها است، ارتودنسی فانکشنال بیشتر به تنظیم استخوان فک و هماهنگی آن با عملکرد دهان می پردازد. این نوع ارتودنسی اغلب می تواند از بروز ناهنجاری های شدید در بزرگسالی جلوگیری کند و در بسیاری از موارد، نیاز به جراحی های فک را کاهش دهد. برخی انواع اپن بایت که منشاء اسکلتی دارند، ممکن است با مداخله به موقع و استفاده از درمان فانکشنال بهبود یابند. مقاله علت کج شدن دندان ها در کودکان را مطالعه کنید.
بیشتر بدانید: ارتودنسی برای بزرگسالان
ویژگی |
ارتودنسی فانکشنال |
ارتودنسی ثابت |
| تعریف | ارتودنسی فانکشنال برای اصلاح ناهنجاری های فکی و تنظیم موقعیت دندان ها با تمرکز بر عملکرد فک ها استفاده می شود. | ارتودنسی ثابت برای اصلاح وضعیت دندان ها و فک ها با استفاده از براکت ها و سیم های ثابت به کار می رود. |
| روش درمان | به طور معمول از دستگاه های قابل تنظیم یا ابزارهای فانکشنال استفاده می شود که به طور موقت روی دندان ها و فک ها اعمال می شوند. | از براکت ها، سیم ها و کش ها به صورت ثابت برای تغییر موقعیت دندان ها و فک ها استفاده می شود. |
| تأثیر بر فک ها | تمرکز بیشتر بر بهبود عملکرد فک ها و اصلاح ناهنجاری های فکی. | بیشتر تمرکز بر تغییر موقعیت دندان ها، بدون تمرکز خاص بر عملکرد فک ها. |
| مدت درمان | معمولاً کوتاه تر از ارتودنسی ثابت است. | درمان ممکن است چندین ماه یا سال طول بکشد، بستگی به شدت ناهنجاری ها دارد. |
| قابلیت جابجایی | دستگاه ها قابل جابجایی هستند و بیمار می تواند آن ها را هنگام خوردن یا مسواک زدن بردارد. | دستگاه ها به صورت ثابت روی دندان ها قرار دارند و غیر قابل جابجایی هستند. |
| میزان راحتی | ممکن است در ابتدا احساس ناراحتی ایجاد کند، اما به تدریج راحت تر می شود. | برخی بیماران ممکن است در ابتدا احساس درد یا ناراحتی کنند، به خصوص بعد از تنظیمات جدید. |
| هزینه | معمولاً ارزان تر از ارتودنسی ثابت است. | هزینه بیشتر به دلیل استفاده از مواد ثابت و پیچیدگی درمان. |
| مراقبت و بهداشت | چون دستگاه ها قابل جابجایی هستند، به راحتی می توان آن ها را تمیز کرد. | بهداشت دهان ممکن است سخت تر باشد، زیرا دستگاه های ثابت می توانند به طور موقت روی دندان ها بچسبند. |
| مناسب برای | بیشتر برای کودکان و نوجوانانی که در حال رشد فک ها و دندان ها هستند مناسب است. | برای بزرگسالان و کسانی که نیاز به تغییرات ثابت در موقعیت دندان ها دارند مناسب است. |
بهترین سن برای شروع ارتودنسی فانکشنال کودکان
سن مناسب برای شروع درمان با ارتودنسی فانکشنال معمولاً بین ۷ تا ۱۰ سالگی است؛ یعنی زمانی که فک ها هنوز در حال رشد هستند و انعطاف لازم برای پاسخ دهی به درمان وجود دارد. در این سنین، می توان به خوبی رشد فک را هدایت کرد و از پیشرفت ناهنجاری های فکی جلوگیری نمود. دکتر مژگان آزادخواه با معاینه دقیق رشد فک کودک و ارزیابی وضعیت دندانی، زمان مناسب برای آغاز درمان را تشخیص می دهند. ایشان با توضیح کامل روند درمان، والدین را در تصمیم گیری صحیح و آگاهانه همراهی می کنند. بسیاری از والدینی که در این سنین برای درمان اقدام کردند، از نتایج سریع و مؤثر آن رضایت کامل دارند. آغاز به موقع، کلید موفقیت در ارتودنسی فانکشنال است. ارتودنسی کودکان در بسیاری از موارد با استفاده از دستگاه های فانکشنال آغاز می شود تا ناهنجاری های فکی در سنین پایین اصلاح شوند.
استفاده از ابزارهای فانکشنال در کودکی، امکان اصلاح کراس بایت را بدون نیاز به جراحی فراهم می سازد.
آیا ارتودنسی فانکشنال درد دارد؟
درمان با ارتودنسی فانکشنال به طور کلی دردناک نیست. البته در روزهای ابتدایی استفاده از دستگاه، ممکن است کودک احساس فشار یا کمی ناراحتی در ناحیه فک یا دندان ها داشته باشد. این احساس معمولاً طبیعی است و پس از چند روز کاهش می یابد. تفاوت مهم این روش با ارتودنسی ثابت در قابلیت برداشت دستگاه ها است؛ بیمار می تواند در برخی مواقع، مانند غذا خوردن یا مسواک زدن، دستگاه را بردارد و استراحت دهد.
بیشتر بدانید: درد ارتودنسی چقدر است؟
مزایا و معایب ارتودنسی فانکشنال در سنین رشد
ارتودنسی فانکشنال در دوران رشد مزایای فراوانی دارد. از جمله مهم ترین آن ها می توان به پیشگیری از نیاز به جراحی فک، بهبود هماهنگی عضلات صورت، اصلاح تنفس دهانی و بهبود وضعیت گفتار اشاره کرد. این درمان با هدایت صحیح رشد فک ها، به تعادل طبیعی چهره کودک کمک می کند. با این حال، مانند هر روش درمانی، این نوع ارتودنسی نیز معایبی دارد. مثلاً برای اثربخشی کامل، نیاز به همکاری فعال کودک دارد. همچنین مراقبت بیشتر از دستگاه ها و رعایت زمان استفاده از آن ها بسیار مهم است. دکتر مژگان آزادخواه با آموزش دقیق به کودک و والدین، تلاش می کنند چالش های احتمالی را کاهش دهند. راهنمایی های مستمر و پیگیری دقیق، کلید موفقیت درمان فانکشنال در سنین پایین است. انتخاب سن مناسب ارتودنسی در موفقیت درمان فانکشنال نقش کلیدی دارد، چرا که این روش بر رشد فک ها تأثیر می گذارد.
بیشتر بدانید: ارتودنسی دیجیتال چیست؟
ارتودنسی فانکشنال برای چه کسانی مناسب است؟
ارتودنسی فانکشنال بیشتر برای کودکانی مناسب است که دارای ناهنجاری های فکی هستند؛ مانند عقب بودن فک پایین یا جلو بودن بیش از حد فک بالا. همچنین کودکانی که تنفس دهانی دارند، عادات غلط دهانی مثل مکیدن انگشت یا فشار زبان دارند، یا هنگام جویدن دچار مشکل هستند، می توانند از این درمان بهرمند شوند. این روش با هدایت رشد طبیعی فک، به بهبود عملکرد کلی دهان و صورت کمک می کند. در مواردی که بیمار دچار آندربایت ناشی از اختلالات رشدی باشد، ارتودنسی فانکشنال می تواند به جلو آوردن فک بالا کمک کند.
بدانید: جابجایی و چرخش دندان
طول درمان ارتودنسی فانکشنال چقدر است؟
مدت زمان درمان با ارتودنسی فانکشنال معمولاً بین ۶ ماه تا ۲ سال است. اگر درمان به موقع و طبق دستور انجام شود، در مدت کوتاه تری می توان به نتایج مطلوب رسید. در برخی موارد، پس از پایان درمان فانکشنال، نیاز به ارتودنسی ثابت برای مرتب سازی نهایی دندان ها وجود دارد. دکتر مژگان آزادخواه در جلسات مشاوره اولیه، تخمینی واقع بینانه از مدت درمان ارائه می دهند و برنامه ای منظم برای جلسات پیگیری تنظیم می کنند.
اوربایت شدید ناشی از ناهنجاریهای فکی میتواند با هدایت صحیح رشد فکها توسط ارتودنسی فانکشنال کاهش یابد.
بیشتر بدانید: ارتودنسی پیشگیرانه چیست؟
هزینه ارتودنسی فانکشنال در سال ۱۴۰۴ چقدر است؟
هزینه ارتودنسی فانکشنال در سال ۱۴۰۴ بسته به نوع دستگاه مورد استفاده، مدت زمان درمان، شدت ناهنجاری و موقعیت جغرافیایی مطب، معمولاً بین ۱۵ تا ۳۰ میلیون تومان متغیر است. قیمت دقیق تنها پس از معاینه حضوری و تهیه عکس های تشخیصی مشخص می شود. این نوع درمان اغلب مقرون به صرفه تر از جراحی فک یا درمان های پیچیده در بزرگسالی است، به خصوص اگر در زمان مناسب آغاز شود.
مقالات مفید: مزایای ارتودنسی سرامیکی
ارتودنسی فانکشنال فک بالا یا پایین را جلو می آورد؟
این دستگاه ها با تأثیر گذاری بر رشد استخوانی، موقعیت فک بالا و پایین را به حالت تعادل بازمی گردانند. در کودکانی که فک پایین عقب تر از حالت طبیعی است، استفاده از دستگاه فانکشنال می تواند باعث جلو آمدن تدریجی آن شود. همچنین در مواردی که فک بالا رشد بیش از حد دارد، با تنظیم رشد آن می توان از ناهماهنگی صورت جلوگیری کرد. دکتر مژگان آزادخواه با بررسی دقیق تصاویر رادیولوژی، مدل های فکی و وضعیت صورت، برنامه ریزی درمان را به صورت فردی انجام می دهند. ایشان با تجربه فراوان، مناسب ترین روش را برای هر بیمار انتخاب می کنند و در بسیاری از موارد، نتایجی چشمگیر در زیبایی و عملکرد صورت بیماران به دست آوردند. برخی از انواع مال اکلوژن مانند کلاس ۲ یا کلاس ۳ با بهره گیری از دستگاه های فانکشنال قابل درمان هستند.
آیا ارتودنسی فانکشنال جای جراحی فک را می گیرد؟
در بسیاری از موارد، اگر ارتودنسی فانکشنال به موقع و در دوران رشد آغاز شود، می تواند نیاز به جراحی فک در بزرگسالی را به طور کامل از بین ببرد. این روش با هدایت صحیح رشد استخوان های صورت، ناهنجاری های فکی را در مرحله ای اصلاح می کند که هنوز تغییرات ساختاری امکان پذیر است. درمان های زودهنگام به ویژه برای کودکانی که فک پایین عقب یا فک بالا جلو دارد، می تواند بسیار مؤثر باشد.
مراقبت های لازم حین درمان با ارتودنسی فانکشنال
در طول درمان با ارتودنسی فانکشنال، رعایت چند نکته ضروری است تا نتیجه مطلوب حاصل شود. کودک باید هنگام خواب و در بیشتر ساعات روز دستگاه را استفاده کند، مگر در مواقعی که پزشک توصیه کرده باشد. رعایت بهداشت دهان و دندان، مسواک زدن منظم و تمیز نگه داشتن دستگاه نیز اهمیت زیادی دارد. همچنین باید از خوردن غذاهای سفت، چسبناک یا شیرین خودداری شود تا دستگاه آسیب نبیند. دکتر مژگان آزادخواه در هر جلسه، آموزش های لازم را به کودک و والدین ارائه می دهند تا مراقبت ها به درستی انجام شود. ایشان با پیگیری دقیق درمان و پاسخ گویی به سؤالات، مسیر درمان را برای خانواده ها ساده تر و قابل درک می سازند. همکاری خانواده و کودک در این مرحله نقش حیاتی دارد.
برای تنظیم روابط فکی در انواع بایت دندان، ارتودنسی فانکشنال می تواند نقش هدایت کننده رشد را ایفا کند.
به مشاوره نیاز دارید؟
فرم مشاوره و رزرو وقت
ارتودنسی فانکشنال برای اصلاح جلو بودن دندان ها
در برخی موارد، جلو بودن دندان ها ناشی از مشکل در موقعیت فک است، نه فقط نظم دندان ها. اگر فک بالا بیش از حد جلو آمده یا فک پایین عقب باشد، ممکن است دندان های جلویی بیرون زده به نظر برسند. در این مواقع، ارتودنسی فانکشنال با اصلاح رشد فک، موقعیت دندان ها را نیز به طور غیرمستقیم بهبود می بخشد.
درمان با ارتودنسی فانکشنال در دوران رشد، یکی از مؤثرترین روش ها برای اصلاح جلو بودن فک پایین محسوب می شود.
American Association of Orthodontists (AAO)










